1. Symbols

Note

This paragraph contains additional information for the reader.

Tips

This paragraph contains additional tips for the usage of the product.

Warning

This section contains warnings that can occur when the application is not used correctly.

Important

This section includes important information for the usage of mRay.

2. Manufacturer

mRay 6.13
Radiological image viewer for mobile devices with image processing functions
© 2025 mbits imaging GmbH

icon manufacturer

mbits imaging GmbH
Hans-Bunte-Straße 4
D-69123 Heidelberg

ce sign

CH-REP:
PTA Schweiz GmbH
Address: Hohlstrasse 192
CH-8004 Zuerich

Detentor do registro:
Domo Salute Consultoria Regulatória Ltda.
Avenida Cristóvão Colombo, 2948 cj. 411 CEP 90540-072, Porto Alegre/RS - Brasil

Registro ANVISA: 81464750176

Responsável Técnico:
Eng. Diego Louzada CREA/RS 162977

3. UDIs

mRay VEO Windows

42606483501155

mRay Client Android

42606483501094

mRay Client iOS/macOS/visionOS

42606483501100

mRay Client Web

42606483501124

mRay Client Windows Desktop

42606483501131

4. Intended Purpose

The software mRay as a radiology instrument can be used by medical specialists for the visualization of image data. Image processing allows the calculation and visualization of healthy and abnormal tissues.

5. Intended Use

5.1. General

The patient group, for which mRay can be used, includes all patients from whom radiological image data has been created for the purpose of diagnosis or treatment. In a worst-case scenario the medical condition of the patient may be critical.

mRay can be operated in hospitals, medical practices, on the go or at home. The software is dedicated for mobile devices for fast and immediate access to radiologic images for informational purposes. When using mRay for diagnostic purposes, national regulations must be considered and an appropriate display must be used. mRay allows the display of images and data types that are defined by the Digital Imaging and Communications in Medicine (DICOM) standard (e.g. computed tomography (CT), magnetic resonance imaging (MRI), positron emission tomography (PET), fluoroscopy (XA), digital x-ray (CR), ultrasound (US)). The software offers common radiological software tools (e.g. windowing, measurements, thick slices and annotations).

Furthermore mRay is capable of performing image processing tasks such as finding, visualizing and quantifying anomalies in tissue. In particular the image analysis module mRay VEO Core may be used to perform an automated processing of brain images from imaging modalities such as CT, CT-Perfusion, or MRI including a Diffusion Weighted Imaging (DWI) Module. As a result, changes in contrast over time are visualized as colored perfusion maps, including flow related parameters and tissue blood volume quantification.

5.2. Contra-indications

mRay may not be used in Germany on a calibrated mobile device if reporting has to be performed for a mammography (MG). Reporting may be performed on a regularly calibrated monitor ("Bildwiedergabegerät") with the mRay software.

5.3. Medical benefits

If mRay is used for viewing medical image data it can be used in the decision process for diagnosis and therapy. The following functionalities allow to do so.

To examine findings in CT images mRay Client is able to visualize images in accordance to the DICOM Grayscale Standard Display Function. By doing so a suitable mobile device is acting as a "Bildwiedergabesystem mit Befundqualität" in accordance with the DIN 6868-157. The constant availability of mobile devices results in time savings compared to stationary solutions.

The perfusion analysis of brain imaging data visualizes and quantifies tissue that is less supplied with blood (penumbra), oxygen deprived tissue caused by obstructed blood flow (core tissue) and the mismatch ratio between the two. The calculated values can be used to support decision making based on an assessment of the extent of tissue damage.

5.4. Warnings

mRay may not be used on a mobile device (tablet, smartphone or notebook) in a room containing a Magnetic Resonance Imaging (MRI) scanner.

5.4.1. Notes for use in diagnosis findings

For the use of mRay in the diagnostic context on mobile devices according to the German legal regulations (QSRL, DIN 6868-157), the instructions under the link must be followed: https://mbits.info/downloads/mRay-Nutzungsanweisungen_Befundung.pdf.

When operating mRay on a Windows PC or Mac, the image display system (BWS) must be calibrated and approved accordingly. Restrictions with regard to the modalities must then be derived from the BWS.

6. Overview

mRay is a mobile viewer application for radiological images. It supports DICOM image files as well as other common image formats and PDF files. The major functions of use are:

  • Receive DICOM data per pre-defined communication setup by Picture Archiving And Communication System (PACS)

  • Overview about all available patients, including a search function (name, birth date, imaging modality)

  • Selection of DICOM data to download from an entire set of data (multiple patients, multiple studies or multiple series)

  • Visualization of the DICOM data in a well-established way of DICOM viewing (analogous standard tools for medical image viewing)

  • Assessment of DICOM data by means of standard navigation tools (level window, panning,zooming, etc.)

  • Create simple textual reports and store them as a DICOM file

  • Take pictures for wound documentation and send them as a DICOM file to a PACS including all necessary meta information

  • Calibration routine to adjust the display of grey values on a device - DICOM Grayscale Standard Display Function

  • Load and create level window presets

  • Manual measurement of structures of interest on 2D slices including angular and length measurements as well as statistical computations in a region of interest

  • Adding textual and graphical annotations to images

  • Multiplanar reconstruction for datasets with multiple slices (MPR)

  • Thickslices by means of maximum intensity projection for up to 11 slices (MIP)

  • Browse PACS by DICOM Query (C-FIND)

  • Request data by DICOM Retrieve (C-MOVE)

  • Encryption and compression of data stored/transmitted

  • Sending messages / images / key images to colleagues, which are shown in a contact list

7. Installation

The installation can be done by each user himself.

7.1. Installation

The mRay application is installed via the respective AppStore of the operating system: AppStore for macOS & iOS, Google PlayStore for Android. Under Windows, please download the executable file from the following website. Alternative installation packages can be requested from the support team.

A list of installation packages can be found here:

Alternatively the mRay webclient can be used, which runs inside your browser:

7.2. Update

The mRay application is automatically upgraded to the latest version via the update mechanism of the respective operating system / AppStore.

Make sure that automatic app updates are enabled. Otherwise, perform the update manually.

7.3. Uninstallation

The mRay application is completely deleted when the app is removed using the standard procedure for the respective operating system.

7.4. Magic Mouse in iPadOS

For the Magic Mouse setup in iPadOS it’s required to enable right-click by secondary click.

ipad magic mouse
Figure 1. Magic mouse setup

8. Getting started

8.1. Welcome screen

The welcome screen appears as soon as the application has been started (Loginscreen). After deciding whether or not the cloud service should be used, additional text fields for username and password will appear. In the next screen you can then enter your credentials to proceed into the application (see Cloud Login or Own server login). If the login data is correct you will be directed to the main screen of the application. Enter your login credentials to log in.

60%
Figure 2. Loginscreen
  1. mRay Cloud: Use a hosted mRay Server, where you can register and upload your own DICOM data.

  2. Own mRay Server: Use a mRay Server hosted by your clinic.

Please take note of the following hints for use of mRay
  • If it is your first login it could take a little time („Connecting“ is written in the status field) – dependent on your connection speed.

  • By clicking and holding a button you can call the interactive help. Thus you can find out every functionality behind a button anytime.

  • If a PIN code is necessary on your device, you’ll stay logged in for a specific period, which means you don’t need to enter your login credentials every time you start the app. The period can be adjusted by your admin.

  • Please set the correct date and time on your device when you are using mRay.

8.2. Cloud login

Use the mRay Cloud service to quickly share and upload your personal medical data.

60%
Figure 3. Cloud Login
  1. E-Mail: Enter the mail you used to register at the mRay Cloud.

  2. Password: Enter the password you used to register at the mRay Cloud.

  3. Login: Login with the entered credentials.

  4. Register now: Create a new account for the mRay Cloud. See Cloud Registration.

  5. Reset password: Reset your password when you forgot it. See Reset password.

60%
Figure 4. Cloud Registration
  1. E-Mail: Enter the mail you want to register with to the mRay Cloud.

  2. Name: Enter your fullname, which will be displayed.

  3. Password: Enter your new password.

  4. Repeat password: Repeat your password.

  5. Phone number: Enter your phonenumber (optional)

  6. Institution: The institution where you work (optional) .

  7. Occupation: The profession you are engaged in (optional) .

  8. How did you hear about mRay: Help us by telling us how you heard about the product (optional)

  9. Advanced Data Use: Allow anonymized use of your data for research and development purposes (optional) .

  10. Updates and product information: Receive updates on mRay and other news from mbits (optional) .

  11. Terms of use and privacy policy: Read through the terms of use and privacy policy. Accepting this is necessary to register a cloud account.

  12. Register: Proceed to register your new account.

60%
Figure 5. Reset password
  • E-Mail: The mailaddress of the registered user.

  • Reset password: Send a reset link to the specified mail address.

8.3. Own server login

You can use the custom server login to connect to a mRay Server instance that is hosted by the hospital / medical institution you work at.

60%
Figure 6. Own server login
  1. Server-Url: The DNS entry or IP-Address of the mRay Server you want to connect to. The port can be omitted, if the port of your server installation is 32000.

  2. Username: The username that should be used to login. If the clinic has user synchronization, either this login or the email address can be used.

  3. Password: The password for the username you selected.

  4. Login: Login to the specified server with the given credentials.

Custom server login

Please contact your administrator to get the server address and your login credentials when using a custom server.

8.4. PIN Check

A PIN check will be necessary when logging in with an ActiveDirectory (AD) account for the first time. The PIN will be sent to the mail address registered in your ActiveDirectory account. The keyboard can be opened by tapping on the input field (PIN Check). The PIN will be validated immediately after entering the sixth digit.

40%
Figure 7. PIN Check
The PIN dialog features the following UI elements:
  • Notification including the mail address the PIN has been sent to.

  • The PIN input field. The keyboard will open by tapping on the input field.

  • You can close the PIN dialog by tapping on the close button. This will cancel the login process.

8.5. Two Factor Authentication

Follow these steps to enable Two Factor Authentication on your device.

Preparations

Download an Authenticator App(eg. Google Authenticator or Microsoft Authenticator) from the AppStore(Apple) or the Google Play Store(Android).

2FA 1
Figure 8. First two steps
2FA 2
Figure 9. Third step
2FA 3
Figure 10. Fourth step
2FA 4
Figure 11. Fifth step
  1. Open the mRay App and click or tip on the mRay Symbol in the upper left corner.

  2. Open the mRay Settings with the gear symbol.

  3. Go to Account management.

  4. Continue with Two-factor authentication.

  5. Press "Enable 2FA".

2FA 5
Figure 12. Enable Two Factor Authentication

6. Copy the token from mRay and paste it in your authenticator app.

In your authenticator app:
• use your mRay username.
• Set "Time-based" as key type.
• Remember or copy the displayed digits.

7. Insert the 6 digits from your authenticator app.

2FA 6
Figure 13. 2FA enabled

You successfully enabled Two Factor Authentication in mRay

8.6. Patient portal

The patient portal appears when you scan a QR code or follow a link you received.

40%
Figure 14. Patient portal
The patient portal has the following UI elements:
  • The access code input field. The access code received must be entered here.

  • The PIN input field. You’ll receive the PIN seperatly from the access code.

9. General

9.1. Inbox

The (Inbox) will be opened after logging in. With this you can browse and select the wanted DICOM files, which are enabled for you through the server. Thus you can see all files on the mRay server on which you have access rights.

Scrolling through long lists

Swipe up/down to scroll through lists or use the scrollbar on the right of a list to navigate quickly through them.

inbox
Figure 15. Inbox
  1. By clicking the mRay logo you can open the main menu (see Main menu).

  2. A green dot shows, if you are connected to the server. In case of a red dot you can work with the local saved files, but of course you can’t receive new files.

  3. Switch to the Inbox or return to the beginning of the list if it is the active tab.

  4. Switch to the Messaging menu (only if this function has been activated in your system).

  5. Switch to the Search dialog. Here you can search the whole mRay database or query a PACS (if configured).

  6. Switch to Favorites: It is possible to mark your favorites with the star symbol (Item 9). Favorites are working as a kind of bookmark and they will be deleted last by the automatically storage management of the application (which means your favorites will only be deleted if it is necessary due to your Settings to the data retention or due to low space on your device).

  7. Switch to the Photo documentation

  8. Click here to return to the viewer with the previously opened images.

  9. Here you are able to quickly and easily share Share, mark as favorite Favorite or export Export a whole study. Further actions on the whole study can be performed with the Context menu Context Menu.

  10. Shows information or rather missing information and meta data from a patient.

  11. Shows an overview of the contained series in a study. By clicking a study you will get to the series selection (see Series selection). The green marker under any thumbnail indicates that the image data is stored locally and offline available.

  12. The time will appear as soon as the data arrived in the mRay (by sending from a PACS and searching in the mRay database). mRay can be configured to automatically delete data after 'X' hours (default: after 8 hours).

  13. Here enables selecting multiple studies for sharing.

  14. Here you can filter your inbox by text entry. Please note: By filtering you don’t start a PACS query! See item 3 Search for PACS queries. Please also mind the notes to special characters in the 'known issues'.*

  15. Take a photo: see Photo documentation section for further explanations

  16. File-Upload: Upload your own DICOM data to the server. Only available if the server supports it.

Hide entries in the inbox

By swiping right within a list container you are able to hide single study or series. Those won’t appear in the list anymore. To view hidden datasets you need to click the button 'show hidden datasets' in the Settings. Hide all data at once by executing the gesture with three fingers at the same time.

Share multiple studies to multiple contacts

With a long click on a study or by clicking on the icon Multiselect you can select multiple studies to be ready for sharing to one or more contacts, a group or as a weblink. A long click on a contact in the Sharing Popup popup or on a message in Messaging also activates multiselection.

inbox multiselect
Figure 16. Inbox select studies

9.1.1. DICOM Upload

If the upload has been activated on the server side, you can upload DICOM data to the server using the "+" button or drag’n’drop (dragging files into the inbox). When using the "+" button, a dialog for selecting the upload data will appear beforehand. If several upload destinations (e.g. departments) are available for you, another dialog will appear. You can use this dialog to select the upload target and, if required, to enter further details about your upload. After confirming all details, the files will be uploaded to the server. As soon as the data has been successfully uploaded and imported on the server side, it will appear in your inbox for the image display. Furthermore, there is an upload report in each uploaded study. This summarizes and logs all upload information (uploader, date, number of files, manual entries, etc.) once again.

upload pool select
Figure 17. Selection of upload targets
upload report
Figure 18. Upload report (here: two uploads with one series of a single study each)

9.2. Series selection

By clicking the title of a study inside the Inbox you will get to the series selection (Series).

series
Figure 19. Series
  1. Back: return to the inbox.

  2. Datasets: Enumeration of all recorded images of the study of a patient.

By clicking a series it will be downloaded (if it’s not already downloaded) and opened for viewing.

Here you are able to share Share, mark as favorite Favorite or export Export an individual series. Further actions on a single series can be performed with the Context menu Context Menu.

9.2.1. Context menu

From the Inbox, as well as from the Series selection it’s possible to execute more actions through the context menu.

contextmenu
Figure 20. Series
  1. Offline available: You can download the image data in mRay to have it available even if you are offline.

  2. Associated examinations: Find associated studys to this patient.

  3. DICOM-Tags: In case the current user has it enabled, it’s possible to view the DICOM tags of the series.

  4. Delete dataset: In case the current user uploaded the dataset himself, he/she can delete them here again (from the server & client).

9.2.2. Series details

More details about a series can be foun the series selection list.

series details
Figure 21. Series details

Pool: name of pool; time when the series was available in mRay; transfer time from PACS to mRay

Side bar buttons: Export: In case the current user has it enabled, it’s possible to download the DICOM data of the series or study. If a series is a DICOM PDF, a regular PDF will be created and downloaded as well.

9.3. Barcode scanner

Use the barcode scanner to quickly and easily insert patient IDs into text fields. This function is available in various text fields, such as the search for the patient ID. Hold the camera image over the barcode and make sure that the entire barcode is in the marked area. If the barcode has been recognized, the text is automatically transferred to the text field.

scanner
Figure 22. Barcode Scanner

The main menu will be opened after clicking the mRay logo (Main Menu).

main menu
Figure 23. Main Menu

The following functions are available:

  1. Shows the currently logged in user and his profile photo.

  2. Opens the Settings screen.

  3. URL of the server you are currently connected to. If there is a download in progress you can see the current download speed here.

  4. DICOM Switch between default calibration settings or no calibration. If you want to calibrate your device contact your mbits support staff.

  5. Tests the download speed of datasets from the mRay server (available if your mRay server is configured to provide such data).

  6. Opens the Lux meter to determine the current room class (only available on Apple devices).

  7. Here you can perform the daily constancy check in accordance to the German DIN 6868-157.

  8. Opens the What’s new? dialog.

  9. Opens the Data privacy statement.

  10. Opens the Imprint.

  11. Opens the About mRay dialog

9.5. Settings

On this screen you can adjust your settings just as you want.

settings
Figure 24. Settings
  1. User settings: customization of your user name and profile photo.

  2. Device settings: adjust the settings that are specific to the device you’re currently using.

  3. Account management: change your account settings.

  4. Logout: leave the server you’re currently connected to.

9.5.1. User settings

settings user
Figure 25. User settings
  1. You can customize your profile photo via the "Camera" icon. To do this, you can select any photo from your files.

  2. Name: You can change your name via the "pencil" icon.

  3. This field shows the email you are logged in with.

9.5.2. Device settings

settings device
Figure 26. Device settings
  1. General: configure overall settings that affect the app appearance on this device:

    • User interface scaling: by which factor the user interface elements (e.g. buttons) should be scaled on this device.

  2. Chat: adjust settings related to chat functionality:

    • Notifications: What kind of notifications you want to receive

    • Link sharing: Select the behavior on how to share mRay Links

  3. Data: adjust settings related to device storage:

    • In use: How much diskspace mRay currently uses. On selection allows deleting all used data.

    • Maximum disk usage: How much diskspace should be used before starting to delete data automatically.

    • Autodownload: In which networks datasets should be downloaded automatically upon arrival.

    • Show hidden files: Reshow files that you did hide in your Inbox before.

  4. Display: Settings regarding mouse position display, constancy check reminders and calibration.

Some device settings might not be available on certain platforms (e.g. the webclient has no autodownload).

9.5.3. Account management

settings account
Figure 27. Account management
  1. Change password: Change your password. See Change password.

  2. Biometric authentication: Allow biometric authentication for your user on the current device.

  3. Uploaded data: The amount of data you have uploaded to the server. By clicking you can erase your uploaded data.

  4. Delete account: Delete your account on this server.

Some account options might not be editable depending on your account configuration (e.g. LDAP users).

9.6. Change password

By using the Change password screen you are able to change your personal account password, without contacting your admin. The following figures will visualize the procedure

change password
Figure 28. Change password

The following items will show you the functionality of this screen:

  1. Your old password is needed in this input field. That’s necessary to protect your account from foreign access.

  2. Insert your new password in this input field, which will be valid as soon as the change is successful.

  3. To prevent typing errors you need to insert your new password again in the next input field.

  4. This indicator shows how strong your new password is on a scale from 0 to 100 percent. 0 means very weak and 100 means very strong. The traffic light colors are also an indicator about the strength of your new password.

  5. By clicking this button you accept the input and your password is changed. It requires a connection to the server to get the changed password to every device. The button will be enabled as soon as all input fields are valid.

Please take care that you are able to type all the special characters via your touch devices, if you want to use special characters in your password. Otherwise you have no opportunity to log in. If you use special characters by a mistake and are not able to log in anymore, please contact your admin to reset your password.

9.7. Download test

download test
Figure 29. Download test
  1. Performs a quick test. The measurement is only estimated, but the duration of the test is shorter than for the complete test.

  2. Performs a detailed test. The measurement takes longer, but the specific values are exact.

  3. This area displays the progress and results.

  4. The images used for the download test are displayed here. The green bars show the progress of the download. The images can also be opened for viewing.

The 'Quick' variant is only an estimate. For a more meaningful value for the distance measurement in the constancy test, please use the 'Detailed' button.

9.8. Lux meter

The Lux-Meter can be used to identify the room class of the current environment.

luxmeter
Figure 30. Lux-Meter
  1. Show the current lux value and room class.

  2. Starts a measurement of the room class. The recorded values are averaged over time. This simulates the recording of ambient light using the device’s built-in front camera. Move the device until the measurement is finished.

  3. Cancel the measurement here

luxmeter popup
Figure 31. Lux-Meter pop-up
  1. Pop-up shows the measured room class and can be closed with the X button.

Due to the measurement method, the recorded values are only an approximation of the actual lux value and thus the room class.

9.9. Constancy check

constancy
Figure 32. Constancy check
  1. Test criteria (The numbers refer to the test pattern elements from DIN 6868-157).

  2. Hide the form mask. This can be recalled at any time (tap on the test image shows button with check mark).

  3. Select the criterion with the check mark if the condition is fulfilled.

  4. Save the execution and its results.

  5. Get more information (opens the manual, see following section).

tg18
Figure 33. DIN 6868-157

The figure shows the individual test pattern elements. The following points must be checked in detail (according to the standard):

  1. Visibility of the line pair grids with high CONTRAST in the middle and in the four corners of the TEST IMAGE (test pattern element 1)?

  2. Visibility of the 5 % and 95 % fields (test pattern element 2)?

  3. Quality control:

    1. In the white and grey field:"QUALITY CONTROL" for all room classes

    2. In the black field:

      1. Mammography:"QUALITY CONTROL".

      2. RK1 (? 50 lx):"QUALITY CONTRO".

      3. RK2 (? 100 lx):"QUALITY CONT".

      4. RK3 (? 500 lx):"QUALITY CON" (test pattern element 3)?

  4. Visibility of the borders and lines of the raster and the centering of the raster in the active area of the Display (test pattern element 5)?

  5. Continuity of the appearance of the gradient bars (test pattern element 7)?

9.10. Notifications

mRay informs users about new datasets and messages. These notifications will appear in the center of the upper edge on the screen when the application is opened, or as a system notification (Device notifications) when the application is running in background (In-app notifications, Item 1). That new datasets and messages have arrived, will be displayed as badges on the corresponding tab symbols of the inbox and the messenger (Notification badges). You may change the types of notifications in the Settings menu.

notification badges
Figure 34. Notification badges
notification inapp
Figure 35. In-app notifications
notification os
Figure 36. Device notifications

The notifications do not contain patient data or contents of messages to provide protection and privacy as good as possible.

With the search function you can search the database of your mRay server quickly and easily. The results list shows studies matching your search criteria. The search results can be moved to the inbox using the 'Offline available' button. You can also view records directly in the search or simply share them with a colleague. Note that, of course, only those records appear that you have been granted access rights to. If the desired data record does not appear in the list, it is possible to make a corresponding request via one or more connected PACS. The search fields can also be customized to suit your needs.

  1. You can specify your search criteria here

  2. The search fields can be customized by pressing this button

  3. Send the search query to a PACS (available if your mRay server is configured accordingly)

The search fields can be customized and the following fields are available for selection:

  1. Patient ID

  2. Patient name

  3. Birthdate

  4. Study description

  5. Studies from (date and period of study)

  6. Modality

  7. Referring Physician

  8. Station (DICOM Tag Requesting Service)

  9. Accession number

Note on the PACS Search
  1. If you want to search by first name and surname, please use the notation "surname^first name".

  2. Make sure that you limit your search as much as possible. In this way you will quickly receive a search response and avoid possible wrong results.

  3. The PACS results list is also divided into studies / series. You can request the corresponding entry from the PACS at any level.

  4. With the download button on the left side of an entry, you can request the study/series from the PACS. Please note that it may take some time to transfer from the PACS to the mRay server and finally to your device.

Please note the following general information on the PACS search

mRay forwards your input to your PACS. So if you want to use so-called wildcards (*/?), you can do the same as from your usual PACS environment. Only the wildcard character "*" is appended to the name field by default. If you do not make an entry, the field is ignored during the query.

9.12. Favorites

In the favorites tab your bookmarked datasets will be enumerated. They will be viewed just like in the patient list. You can also remove them from your favorites (see chapter Inbox).

9.13. Sharing Popup

Upon clicking on a share icon Share, a popup for choosing between contacts or a weblink appears.

sharing
Figure 38. Sharing popup

Various options are available when sharing content via links.

  1. Choose if the recipient can download the content.

  2. Allow the recipient to download the shared DICOM data.

  3. Select when the link should expire. The content is visible for the recipient up to 6 months.

  1. You can copy the link manually or tab on "Share link"("copy" on desktop computer) to share with another app.

  2. Alternatively you can send the content direct to an Email-address.

  3. Send this PIN to your recipient. The content is only visible when entering this PIN

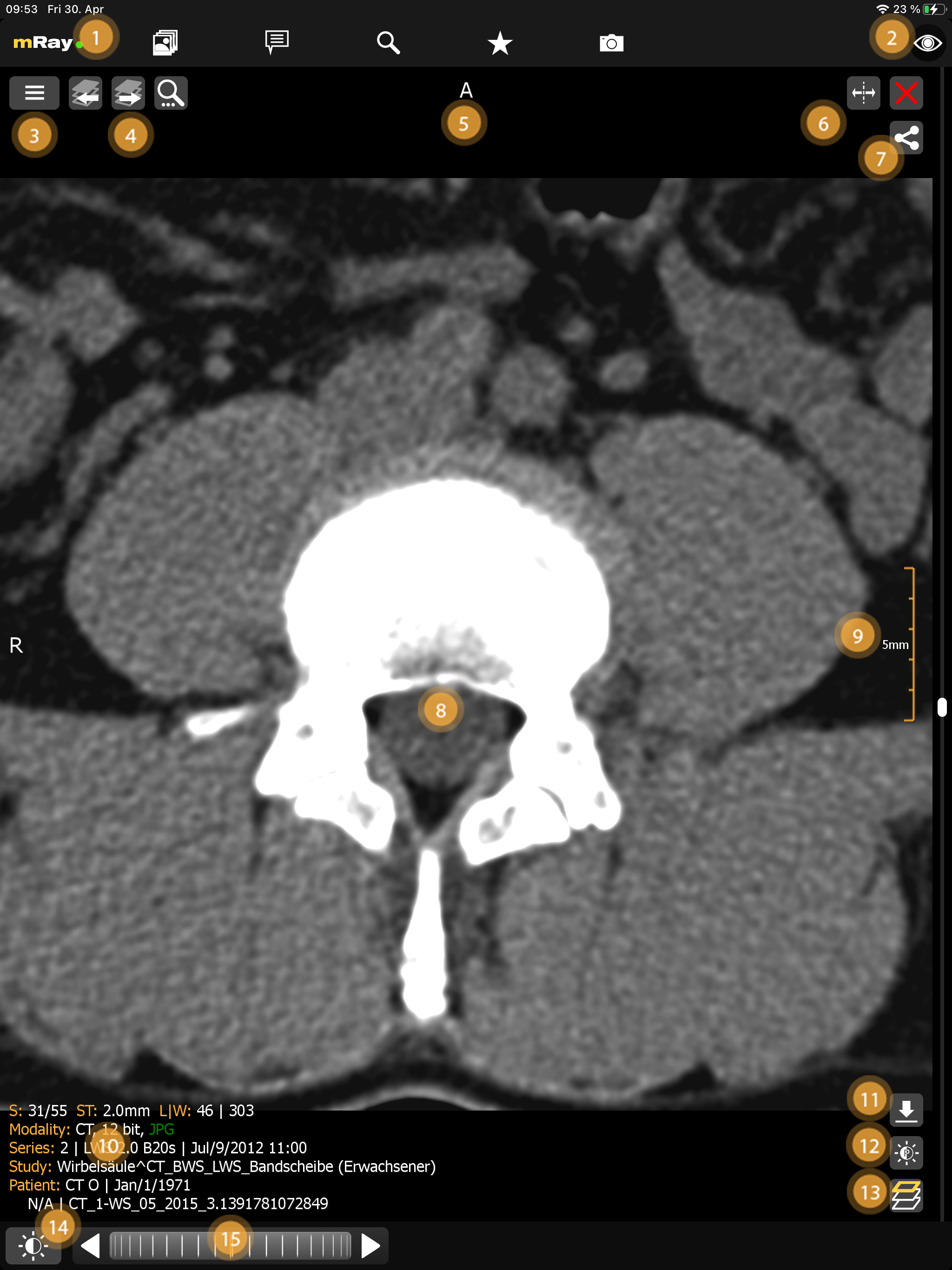
10. Viewer

Selecting a series from the Inbox will open the viewer.

viewer
Figure 41. Viewer

The following functionality is available:

  1. Open the Main menu and keep an eye on the connection to the server via the traffic light system.

  2. Toggle-information-button switches between different modes for the information overlay:

    1. All information: display all user-controls and meta-data for the current dataset.

    2. Minimal information: only display the patient name and the image-orientation

    3. No information: only display the imagedata.

  3. Go to Series selection via this button.

  4. Switch to the previous or next series within the study, in case there is more than one series available.

  5. Shows together with the sign on the left edge of the screen the orientation of the image by the view of a patient. The directions will be determined like in the following (combinations possible):

    • R - Right: The direction in which X decreases.

    • L - Left: The direction in which X increases.

    • A - Anterior: The direction in which Y decreases.

    • P - Posterior: The direction in which Y increases.

    • I - Inferior: The direction in which Z decreases.

    • S - Superior: The direction in which Z increases.

  6. Split button and close buttons to manage multiple views (up to 2 on smartphones, 4 on tablets).

  7. The "Close"-Button moves the viewer to the background.

  8. The view shows the image data. The tools (12) allow you to interact and adjust the image. You can always use the two fingers to zoom in/out, except of you turned on 1:n zoom.

  9. The measurement shows the scaling of the image. Notice that the displayed number of length shows the inner length of the measure. In this case the total length of the measure is 25 mm, as every step is 5 mm long.

  10. Information about the patient, study, modality and other. The following abbreviations are used:

    • S: information about the current slice position and number of slices.

    • ST: information about the slice-thickness

    • L|W: information about the current level-window settings.

    • IN: the DICOM Instance Number.

  11. Download the current dataset as DICOM Data (only if enabled on this server)

  12. Adjust level window presets with the 'Level-Window'-Button.

  13. 'MPR-modality'-button to change the view modality.

  14. Opens the tool and interaction menu.

  15. The scrollwheel allows the user to scroll through a series (see Interactionbar). The scrollbar on the right edge of the screen can also be used to scroll through a series with only one hand (see Scrollbar).

10.1. Series buttons

The series buttons only appear when there is another series in the current study.

series buttons
Figure 42. Series buttons
  1. Go to the previous series in the study.

  2. Go to the next series in the study.

  3. Search for associated studies

10.2. Interactionbar

The Interactionbar offers tools and functionality to interact with the currently open image. It contains a Toolmenu button (1) and a scrollwheel (2) to navigate through 3D datasets. The toolmenu button shows the currently selected tool.

interactionbar
Figure 43. Interactionbar

The scrollwheel allows you to scroll through a series image layers. You can interact with the scrollwheel by tapping the arrow keys for next / previous slice or scrolling the wheel with your finger. By releasing the wheel it will instantly stop.

10.3. Scrollbar

The Scrollbar allows you to change the currently viewed image slice, like the scrollwheel. In difference to the scrollwheel, the scrollbar’s layout instantly indicates where you are in the image slice stack. Depending on your view rotation, the scrollbars top/bottom or left/right edge symbolize the beginning/end of the dataset. There are two different scrolling modes:

  • Relative: If you are tapping the scrollbar at a position of your choice and start to move, you will scroll through the image slices based on your scroll speed. The finger movement is not synchronized to the scrollbar handle position. The scrollspeed is adjustable by increasing/decreasing the distance of your tap to the scrollbar while scrolling.

  • Absolute: In order to activate this mode double tap on the scrollbar. While this mode is active, changing the position of your finger will change the position of the handle directly. By releasing the touch the scroll behavior switches back to relative.

scrollbar
Figure 44. Scrollbar

10.4. MPR Views

The MPR views allow you to open up multiple views at once ([abbr-mpr] View). Following screenshot shows the MPR view:

mprview
Figure 45. [abbr-mpr] View

The Screenshot shows the original view of a dataset, the locally computed reconstructions (MPRs) and information to the viewed dataset.

  1. Add more views here Split. The maximum number of views is 2 on smartphones and 4 on tablets. Temporarily display view in a fullscreen state and back to previous state using maximize Maximize and minimize Minimize icons.

  2. Indication of the current view direction in relation to the original image stack. You can change the view direction by pushing this button MPR.

  3. Use this button Sync to synchronize with the active view. See Synchronized Views for more details.

  4. Shows the reference lines depending on the other opened views. These can be configured in the Toolmenu

You can change the perspective with the MPR perspective button (Point 2). This allows you to switch between axial, sagittal and coronal. The button in the top right corner (Point 1), allows you to open or close a view. If there is more than one view, a button to synchronize view adjustments will appear (see Synchronized Views). In order to interact with a view you have to select the appropriate view first. Therefore tap on the view. The selected view will be highlighted.

The MPR is dependent on the DICOM tags Image Orientation (Patient) (0020,0037) and Image Position (Patient) (0020,0032) and only available if there are no major deviations in the 3D stack of slices.

mRay allows you to load different datasets in different views. After opening a new view, you can open another series by tapping on the inbox button. It is also possible to view two different patients at the same time. To prevent a confusion between different patients a permanent warning is shown.

10.4.1. Arbitrarily oriented MPR

Besides the orthogonal orientations axial, sagittal and coronal you can switch to the arbitrarily oriented MPR in the Toolmenu.

arbitrarympr
Figure 46. Arbitrarily oriented MPR

The Screenshot shows the active arbitrarily oriented MPR mode.

  1. Move the slice position of the other views.

  2. Change the orientation of the other views.

  3. Reset to orthogonal orientation.

To reset the orientation to orthogonal use the MPR button mentioned above or perform a double tap. By performing consecutive resets you can change the order of the planes within the views. You can deactivate the arbitrarily oriented MPR in the Toolmenu or by closing views until a single view is left.

MPR generated images may display inprecise grayvalues due to interpolation.

10.4.2. Volume Rendering

The Volume Rendering displays a CT or MRI dataset in 3D. To activate the functionality open the toolmenu, the volume rendering button appears for suitable datasets. The visualization can be adjusted by choosing pre-configured tissue or grayscale presets. With touch or left mouse button you can adjust the view direction. To zoom use the pinch gesture or right mouse button.

volume rendering
Figure 47. Volume Rendering

The screenshot shows the tissue or grayscale presets.

The visualization is only an approximation. Diagnostic decisions should be based on the conventional 2D visualization.

Requires an OpenGL 3.0 capable device. Volume Rendering will otherwise be disabled.

10.4.3. Synchronized Views

If there is more than one view, a chain button Sync to synchronize view adjustments will appear (see Synchronized Views).

This functionality allows to synchronize the interaction on the active view to other views. Interactions that are synchronized are the following:

  • Zoom

  • Panning

  • Level window

  • Slice scrolling (only if in the same view-mode)

  • Double click/tap Reset

  • Next & Previous Series

Other interactions like annotation placing or slice-thickness are always just applied to the current active view.

  • Slice Scrolling Type Upon clicking the chain button to synchronize view adjustments, the slice scrolling type is automatically selected and displayed in its icon as follows:

    • Synchronized slice scrolling SyncSlices will sequence one by one slice of each synchronized view. This mode is selected when the patient position information is not available.

    • Synchronized distance scrolling SyncDistance will sequence each slice of the active view while the synchronized view will sequence to the next slice according to the distance between slices. In other words, if the user starts synchronizing the views on the same position, the slices will try to display similar positions. This mode is selected by default when the patient position information is available.

The synchronized views only synchronize interactions, not alignments.

10.4.4. Synchronized Alignment

The SyncAlign function synchronizes one or more views, including the alignment of its patient position. This feature will appear in the toolmenu, if there is more than one series of the same study displayed, and their alignment is possible.

Upon activation, the matching datasets are automatically aligned to the one with highest quality and their interaction synchronization is also enabled (see Synchronized Views). Changing their MPR view direction is also synchronized by using the icon available MPR on the dataset with highest quality, currently used as reference for alignment. Unsuitable series aren’t synchronized and remain unchanged.

synchronized alignment
Figure 48. Synchronized Alignment

SyncAlign function have been activated. Synchronized and aligned views show a blue icon on the top-right corner, while unsynchronized views remain the same. Reference view with highest quality has MPR view icon available on its bottom-right corner MPR.

Expect small alignment deviations due to measurement uncertainties.

Aligned images are generated by MPR which may display inprecise grayvalues due to interpolation.

Position misalignment may result from wrong internal patient information saved into the file.

10.5. Toolmenu

toolmenu
Figure 49. Toolmenu

You can select the following tools from the toolmenu:

  • Interaction

    • Level Window: With the level window tool you can modify the grayscale values and brightness of the view (Viewcontrol).

    • Panning: The panning tool allows you to pan, increase and decrease the size of the image. This tool is selected by default

    • Slice scrolling: You can scroll through the slice images via slice scrolling (see Interactionbar and Scrollbar). Scrolling happens via vertical movements on the image with the left mouse button pressed or by touch.

    • Thickness: Maximum intensity projection (MIP). View multiple slices at once (slices are superimposed). A maximum of 11 slices can be superimposed on each other.

  • Tools

    • DICOM Cine: Allows to play DICOM Cine files or 3D datasets.

    • Zoom: Zoom the image in and out in the preselected 'FREE' mode. By tapping the tool it will zoom the image to one of the prefabricated zoom levels in the following formats: 1:1, 1:2, 1:4 and 'FREE'.

    • Create report: Creates a structured report draft. See Report workflow for more details.

    • Reference lines: Switch between the different modes for displaying reference lines

    • MPR Display all MPR views of active dataset and enable plane control by dragging reference lines. (Arbitrarily oriented MPR)

    • SyncAlign Automatically align the patient position of one or more of the available datasets. (Synchronized Alignment)

    • Volume Rendering Visualize the active view’s dataset as a 3-dimensional volume. (Volume Rendering)

  • Annotations

    • Measurement: Create measurements on a slice of the image data set.

    • Note: Place a note on a slice of the image data set.

    • Arrow: Place an arrow on a slice of the image data set to highlight important regions.

    • Region of interest: This tool allows to mark a region of interest with an elliptical selection which shows information about the selected region imagedata.

    • Angle: Place an angle measurement on a slice of the image data set.

    • Remote angle: Allows to measure an angle (like the angle tool) between two lines.

    • Point: Place a cross on a slice of the image data set.

    • Length ratio: Show the length ratio between two lines.

    • Segmentation: Create a manual segmentation.

    • Save keyimage (to PACS): Saves the current view with all Annotations. The original dataset will not be touched. Optionally the keyimage will be uploaded to the PACS if your license supports the 'PACS upload' and it is properly configured.

    • Save Hanging: Save actual slices position and orientation from all view for future use.

    • List of annotations: Contains all annotations you added to the image. By long pressing an annotation in the list, more options such as multi-select, rename and delete will appear.

The selected interaction method is kept across studies.

10.6. Level-Window presets

mRay allows you to create presets for the Level-Window tool. These can be selected from the Level-Window menu (on the right Level-Window presets). Please note: These presets are saved to the device and are not synced to other devices.

levelwindow
Figure 50. Level-Window presets
  1. DICOM: Sets the level window to the settings set in the DICOM tags.

  2. FULL: Set the level window to the full spectrum of grayscale values.

  3. INVERT: Like full, but inverted.

  4. Level-window-preset

    • Tap: Sets the level window for the active view.

    • Double Tap: Sets the level-window for the active view and closes the presets window.

    • Hold: Selection of Preset(s)

  5. Creates a new preset.

  6. Select one or more presets.

  7. Delete the selected preset.

  8. Edit the selected preset (Edit Level-Window preset).

  9. Move preset up/down.

create preset
Figure 51. Edit Level-Window preset

10.7. Desktop controls

On devices with a mouse pointer mRay allows some actions to be performed with mouse buttons. See the following list:

Table 1. Mouse controls

Button

Functionality

Left button

Selected tool (e.g. panning, levelwindow, thickness)

Right button

Zoom when moving the mouse vertically

Middle button

Alternative tool (levelwindow when panning is the primary tool, otherwise panning)

Mouse wheel

Change the current slice

Next button

Next series in study

Previous button

Previous series in study

Table 2. Keyboard controls
Shortcut Action

F11

Toggle fullscreen mode

DEL

Delete the currently selected annotation inside the viewer

ESC

Go back to the previous step

N

Switch note annotation mode

M

Switch to measurement annotation mode

A

Switch to arrow annotation mode

R

Switch to region of interest annotation mode

X / P

Switch to point annotation mode

W

Switch to angle annotation mode

Arrow-Up

Slicing (+1)

Arrow-Down

Slicing (-1)

Arrow-Right

Next series

Arrow-Left

Previous series

T

Pan upwards

G

Pan downwards

F

Pan left

H

Pan right

Space

Start/stop DICOM Cine

O

Zoom out

I

Zoom in

U

LevelWindow: Center + 10

J

LevelWindow: Center - 10

K

LevelWindow: Window + 10

L

LevelWindow: Window - 10

1

ThickSlices + 1

2

ThickSlices - 1

0

Reset view

V

Change active view

11. Tools

11.1. Annotations

11.1.1. Add annotations

Choose an annotation type in the menu and add e.g. a measurement by tapping and dragging the endpoint of the line.

Table 3. Placement of annotation by type

Type

Interaction

Measurement

Tap, keep pressed and drag

Arrow

Tap, keep pressed and drag

Text annotation

Tap

Region of interest

Tap, keep pressed and drag

Angle

Place the 3 corner points by tapping 3 times

Length ratio

2 times: Tap, keep pressed and drag

Remote angle

2 times: Tap, keep pressed and drag

Point

Tap

Segmentation

Tap, keep pressed and drag

11.1.2. Annotation menu

The following button (see List of annotations) will appear in the Toolmenu if the user has created any annotations.

annotation button
Figure 52. Annotation button
  1. Opens the 'List of annotations' window

annotations window
Figure 53. List of annotations
  1. A single tap selects and jumps to the annotation. Tap and hold will open the annotation submenu (Item 2,3).

  2. Deletes the selected annotation.

  3. Edit the name of the currently selected annotation.

11.1.3. Text annotations

The note tool Note creates text notes in the current slice image. Notes can be edited by double tapping on them. Notes can be selected by tapping on them or selecting them in the List of annotations, like measurements. You can move the selected Note with one finger. You can delete notes and measurements from the Annotation menu.

note
Figure 54. Text annotation

11.1.4. Measurements

The measurement tool Note allows you to create measurements on an image slice. The display length is rounded to one digit after the comma. The inserted measurement can be adjusted by 'Pinch-to-Zoom'. Alternatively you can adjust booth ends separately. In order to do so you have to tap on the transparent circles at the end of the line. You can create as much measurements as you want in one image. You can reselect a measurement by tapping on it or selecting it from the 'List of annotation' window.

measurement
Figure 55. Measurement annotation
Attention
  • The measurement information is read out the data send by the PACS. Missing or corrupted spacing data could lead to wrong measurements. Should you encounter problems with wrong measurements there could be an issue in the modality setup of the image data. Please consult the appropriate IT-Support.

  • In 2D-radiographs the measurements show the size like it would be shown by the X-ray detector. Keep in mind that measurements show the size of the projection and not the physical size of a structure! This also applies to the 'REAL' zoom mode!

  • The accuracy of all measurements depends on the pixel spacing of the displayed images and the pixel size (PPI) of the device screen. See Measurement inaccuracy for 1:1 zoommode and Measurement inaccuracy for other zoommodes

Measurement inaccuracy for 1:1 zoommode

The maximum measurement inaccuracy for the 1:1 mode can be described as follows:

precision1

with \(\epsilon_{max}\) as maximum error, \(ps\) as pixelspacing and \(r\) as aspect ratio

Measurement inaccuracy for other zoommodes

The maximum measurement inaccuracy for other modes can be described as follows:

precision2

with \(\epsilon_{max}\) as maximum error, \(ps\) as pixelspacing, \(zf\) as zoomfactor and \(r\) as aspect ratio

11.1.5. Angle tools

The angle tools allows you to create an angle in the current image slice. The angles lines are adjustable in their length and direction so that you can modify the angle by your needs. You can move the whole angle by tap and hold the intercept point. The angle can be deleted from the annotation menu.

angle
Figure 56. Angle annotation

Beside the normal angle tool there is the remote angle. While the normal angle is a real angle, the remote angle calculates the angle between two lines without a crossing point. Beside that, it can be used like the normal angle tool.

remote angle
Figure 57. Remote angle annotation

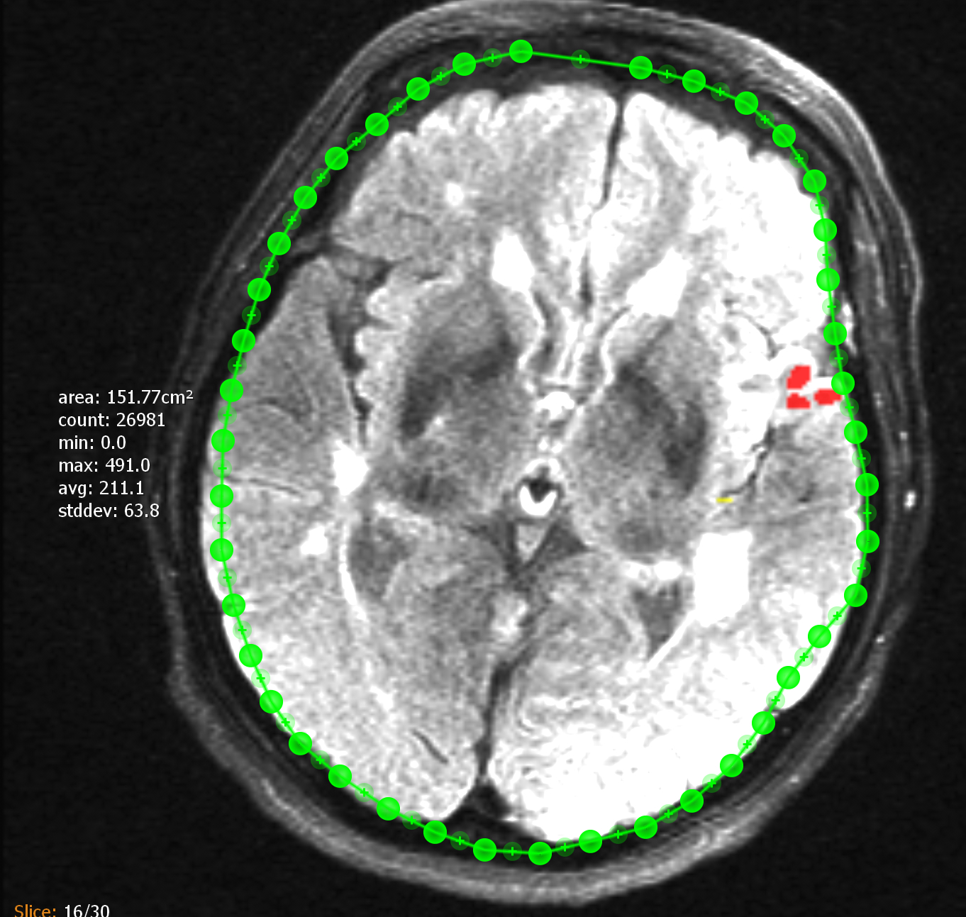
11.1.6. Segmentation

You can use the "Segmentation"tool to insert a manual segmentation into a layered image. After activating, circle the object to be segmented with your finger. The annotation can then be adjusted. The segmentation points can be easily moved or deleted with double tap. New points can be added by' +'. On the side of the segmentation there is an additional information text which contains the following calculated values for the pixels in the segmentation:

  • area: Segmented area (optional if image spacing is correct).

  • count: Number of pixels inside the ROI.

  • min: Smallest selected grayscale value.

  • max: Biggest selected grayscale value.

  • avg: Average grayscale value of all selected pixels.

  • stddev: Average spread of all grayscale values from the average grayscale value.

segmentation
Figure 58. Segmentation
Please note
  • If the measured data set is a color image, the mean value of the color channels is used per pixel for calculating the above mentioned values.

  • Pixels that are not included in the segmentation are determined by the following rule: If a pixel is completely within the segmentation or if it is cut through the contour of the segmentation, it is considered as part of the segmentation. Thus, the pixel center does not play a role in determining the inclusion.

  • A decimal place is used to display the measurement accuracy (exception: count).

11.1.7. Region of interest

With the 'Region of interest' feature in the Toolmenu you are able to add a region of interest (ROI) to an image or a slice. After adding a ROI it is activated by default and ready for individualization. The ROI can be moved by tapping the cross in the middle of it and dragging it around. By using the two touch handles (white, transparent circles at the edge of the ROI) you are able to shape and rotate the ROI. On the opposite of the touch handles you’ll find the following information:

  • area: area (optional if image spacing is correct).

  • count: Number of pixels inside the ROI.

  • min: Smallest selected greyscale value.

  • max: Biggest selected grayscalwe value.

  • avg: Average grayscale value of all selected pixels.

  • stddev: Average spread of all grayscale values from the average grayscale value.

roi
Figure 59. Region of interest
  1. Attention

The same restrictions as for Segmentation apply.

11.2. Overlay menu

mRay supports the display of DICOM files with up to 16 overlay masks. These overlays can be switched on and off separately via a menu in the viewer. It is also possible to assign a freely selectable color and transparency to each overlay.

overlay
Figure 60. Overlay menu
  1. Displays the overlay with color and label information. With one click you can switch the respective overlay on or off. To adjust the color and transparency, press and hold the button for a short time.

  2. Here you can set the color and transparency for the overlay.

12. Report workflow

If your server license includes the structured reporting feature then you are able to create textual report within mRay. There are multiple a stages a structured report has, which will be described below.

12.1. Report creation

A report can either be created manually by pressing the Create report button inside the tool menu (see Toolmenu) or by incoming HL7 orders (please contact your mbits support for this setup). The created draft is created inside the associated studied and is displayed inside the inbox. The draft is visible to all users and can be worked on cooperatively.

draft inbox
Figure 61. Draft in inbox
  • The user requires permission to be able to create and edit structured reports.

  • When the report is created by an HL7 order it’ll be prefilled with clinical information.

12.2. Template selection

When a new draft is created, it’s possible to select a draft template. Depending on the template, different fields are displayed that must be filled in.

  • The templates must be configured on the server side. Please contact your mRay administrator for the setup.

12.3. Draft editing view

After a draft is created it opens right next to the associated series. The patient and study information is filled automatically and the report title is prefilled from the current date. While the report is open it is locked for the current user, which means that no other users can edit it. This avoids multiple users working on the same draft performing conflicting changes.

draft
Figure 62. Draft editing view
  1. Report title: The title for the structured report. Is prefilled with the current datum.

  2. Report content: The content for the structured report e.g. a diagnosis or any other clinical information.

  3. Unlock draft: Unlock this draft and allow other users to work on this draft.

  4. Delete draft: Delete this draft. It will disappear for all other users aswell.

  5. Approve draft: Finalize the current draft and create the structured report. After this action you can’t modify the report anymore.

  6. Associated study: Displays the study that is associated with this report.

12.4. Draft reading view

When you reopen a draft from the inbox you can see the current draft state. You can always open this view even for locked drafts. When the report is locked by another user a closed lock is displayed.

draft read
Figure 63. Draft reading view
  1. Draft summary: A summary of the information in this draft.

  2. Draft content: The text that has been added to this draft.

  3. Edit draft: Edit this draft and open the Draft editing view

  4. Copy content: Puts the content of this draft into your clipboard.

  5. Associated study: Displays the study that is associated with this report.

12.5. Structured report view

After the draft has been approved it’s not editable anymore and the draft flag is removed. See Final structured report

structured report
Figure 64. Final structured report
  1. Report summary: A summary of the information in this report.

  2. Report content: The text that has been added to this report.

  3. Report approval: Displays the user who has approved the report.

  4. Copy content: Puts the content of this report into your clipboard.

  5. Associated study: Displays the study that is associated with this report.

You can automatically export approved reports into your PACS when your mRay Server has that feature. Please contact your mbits support for further information.

12.6. Corrective and Supplementary Report

Approved reports cannot be modified; however, it is possible to create a corrective or supplementary report. These reports are versioned, ensuring that the original approved report remains unchanged.

To create a corrective or supplementary report, click the Edit button located at the bottom right corner of an approved report. You will then be prompted to select the type of report you wish to create.

report select
Figure 65. Corrective and Supplementary Creation

12.6.1. Corrective Report

A corrective report allows a complete modification of the text of an already approved report.

corrective report
Figure 66. Corrective Report
corrective report draft
Figure 67. Corrective Report Draft

12.6.2. Supplementary Report

A supplementary report permits the addition of new information to the report, but only once. The existing text remains unmodifiable.

supplementary report
Figure 68. Supplementary Report
supplementary report approved
Figure 69. Approved Supplementary Report

12.6.3. Report History

Both corrective and supplementary reports retain the history of their previous versions. These versions can be accessed through the series view of a study. To open the series view, refer to Series selection.

report history
Figure 70. Report History

13. Messaging

With the messaging function (Messaging) you are able to send and receive messages and datasets/key images to your contacts and groups.

messaging
Figure 71. Messaging

The screen provides the following functions:

  1. Click to open the chat with a contact.

  2. Click to open the chat of the chat room for group meeting.

  3. Preview of the last messages in the chat.

  4. Create a new group chat.

  5. The profile photos of your contacts and groups are visible in the chat (see User settings).

13.1. Chat

Just as known from other messaging applications it is possible to send and receive messages (Chat). Additionally it is possible to share series, key images and sending audio messages.

chat
Figure 72. Chat

This screen provides the following functions:

  1. Back to the overview.

  2. Chat course: Available series and key-images (key icon above the preview image) can be opened by clicking it. Please notice: If you have no access rights for an image a corresponding error message will be displayed.

  3. Add an attachment from your phone gallery, which will be send as photo message (see Photo messages)

  4. Input field to type your text messages.

  5. With the microphone button you can capture audio messages (see chapter Audio messages). With the camera button you can send Photo messages

  6. With this button you can start screensharing with all chat participants (see Screensharing).

  7. This icon indicates that an image is already open in the background (see Screensharing).

13.2. Photo messages

In addition to text, pictures can also be sent to contacts. This is possible by clicking on the photo camera icon, which is to the left of the text field (see Chat).

chat photo preview
Figure 73. Photo capturing

The above figures illustrate the following functions:

  1. Use this button to return to the chat history from the photo capture preview.

  2. This button triggers a capture and sends it to your selected contact. You’ll be back inside the updated chat history.

In the case of photo messages, there is no access to the private photo memory or the gallery of the device. The photos are only managed and stored internally by and within mRay.

13.3. Audio messages

Additionally to text messages you can also send audio messages. Simply click the microphone button, which is located at the opposite of the input field on the chat screen (Audio messages).

chat audio
Figure 74. Audio messages

The upper figure visualizes the following functions:

  1. The flashing 'REC' symbol will show up when you are recording an audio message.

  2. The time readout shows how long the record is until now.

  3. By clicking the close button you can cancel the message.

  4. The oscilloscope shows the volume in discrete time steps while you record.

  5. You can take a break from recording by clicking the 'pause' button and continue to another time. By clicking the 'pause' button the icon will change to a microphone, which you need to click if you want to continue.

  6. As soon as the recording is completed you can click the 'send' button to the receiver.

13.4. Group messages

To communicate with several people at the same time, it is a good idea to create a chat group (see Messaging). The group members can be selected during the creation process as shown in Group member selection.

group create
Figure 75. Group member selection

After the members have been selected, the new group must be named. The name is then displayed to all group members in the overview. See Name group

group name
Figure 76. Name group

After confirming the group name the group appears in the messaging overview. You can edit the group settings by clicking the groupname in the top after opening the chat. See Edit group settings. You can assign a profile photo to the group via the "Camera" icon.

group edit
Figure 77. Edit group settings

14. Screensharing

Screensharing allows you to share your screen with others. After pressing the button (see Chat) the screensharing will start and the image you have already opened will open (see Chat) or you will be redirected to the inbox if no image has been opened yet. The screensharing can be started with one or more persons (see Screensharing in groups), in the form of a group.

In a chat, the administrator is the one who starts the screensharing. In a group the administrator is defined previously (see Screensharing in groups).

screensharing admin
Figure 78. Screensharing as administrator

The upper figure visualizes the following functions:

  1. The one who started screensharing is underlined in white, the active participants are displayed in white and the inactive participants of the group are displayed in gray.

  2. With the 'Microphone' button, a participant can activate and terminate the voice function (crossed out). The speaking participant is displayed in yellow.

  3. The X button ends the screensharing for all participants.

  4. Only the administrator can apply tools during the screensharing.

  5. Here you can minimize the window.

screensharing receiver
Figure 79. Screensharing as receiver

The upper figure visualizes the following functions:

  1. By clicking the 'green checkmark' button, the participant can join the screen sharing.

  2. The administrator is underlined in white, the active participants are displayed in white and the inactive participants of the group are displayed in gray.

14.1. Screensharing in groups

In a group, screen sharing can only be started by a previously determined administrator. For the other participants of the group, the screen sharing starts automatically. In a group only the group administrator can use the voice function.

screensharing groups
Figure 80. Screensharing in groups (as Admin)

The upper figure visualizes the following functions:

  1. The X button ends the screensharing for all participants.

  2. Only the administrator can apply tools during the screensharing.

  3. The one who started screensharing is underlined in white, the active participants are displayed in white and the inactive participants of the group are displayed in gray.

  4. The number of active participants and all group members.

15. Photo documentation

The photo documentation feature is expressly not permitted for diagnosis or treatment decisions. This feature isn’t enabled by default. It is only available for evaluation purposes. If you’re interested in taking part of the evaluation, please contact your mbits support staff.

When the feature is enabled for the current user you’ll see an extra tab for the photo documentation and a button in your inbox to open the camera. By pressing on the camera button (Point 2) you’ll open the camera and be able to capture all the photos you require. A photo documentation workflow will be like the following

  1. Take pictures

  2. Select photos that should be assigned to a patient or order

  3. Select the body part which reflects the content of the photos

  4. Select a patient or order

  5. Add more information to the photos (key wording)

  6. Confirmation

  7. Wait a moment for the photos to appear in the inbox

photodoc inbox
Figure 81. Photodoc Inbox
  1. Go to the Photo documentation tab

  2. Open the Photo documentation camera

15.1. Camera

When you’ve captured all the photos you need press the photo stack (Point 3) to continue to the review process.

photodoc camera
Figure 82. Photodoc camera on Android (left) and Apple (right) devices with more than one camera
  1. Shutter button to capture a image.

  2. Select desired camera lens (only on devices with more than one camera).

  3. Image stack of taken images. Click to return to gallery.

  4. Enable, disable or set automatic flash operation.

  5. Enable or disable automatic white balance adjustment.

  6. Enable or disable automatic exposure adjustment.

The review gallery displays all the photos that you have taken so far ordered by their capture date.

  1. Navigation bar shows current progress and allows you to go to a step by tapping on it. By doing that you can only go to a previous step

  2. Select button to enter image selection mode.

  3. Click on a thumbnail in order to view a image.

  1. Click on a thumbnail to add the image to the selection.

  2. Button to select a row of images.

  3. Cancel selection mode.

  4. Deletes the selected images. Deleted images can not be restored.

  5. Confirm selection and go to the next step.

Danger

Be careful and do not delete images by accident. Deleted images can not be restored.

If you want to inspect an image more detailed you can enter the photo view by clicking the target photo. Inside the photoview you get a fullscreen overview of the image. In this mode you can perform all the transform operations that are already known from the regular viewer (panning, zoom). By clicking the next or previous (Point 2) button you can navigate between the images.

photodoc image view
Figure 85. Image view
  1. Go back to the image gallery.

  2. Switch between images. You can also use a swipe gesture to move forward / backward in the image stack.

  3. Deletes the currently opened image. Deleted images can not be restored.

  4. Shows the date and time the image was taken.

15.3. Body part

In the next step you are asked to to select a body part to which the selected photogroup belongs to. The selected body part defaults to "Unspecified" and is displayed in a label (Point 4). To select a body part just press on the human. To switch between front and back view you can press the corresponding button (Point 2). For navigation purposes you it’s displayed which side is left or right (Point 3).

photodoc bodypart
Figure 86. Body part selection
  1. Body part selection. Click on a body part to select it.

  2. Rotates the body part selection so you can select parts on the front and back of the patient.

  3. Shows the correct direction relative to the body part selection.

  4. Shows the name of the currently selected body part.

  5. Confirm the selection and proceed to the next step.

By tapping on the next button you will continue to the orderview.

15.4. Orderview

In this page all patients and unprocessed orders are displayed. Each order/patient are displayed with the necessary information to identify them (Point 1). To filter all the entries you can use the search field in the top (Point 3). To scan a QR or Barcode you can use the corresponding button below the search field (Point 4).

photodoc orderview
Figure 87. Orderview
  1. Shows patients that are registered in the system.

  2. Shows orders that are registered in the system.

  3. Filter input to filter the displayed results.

  4. Search patient or order by scanning a bar code containing the patient or order id.

  5. Shows when the last update or order id has been made.

  6. Add a patient to the system by manually entering the correct information.

By clicking an order/patient you’ll proceed to the confirm. If there is no order and no patient that fits your case you’ll want to add the patient manually with the add patient button (Number).

15.5. Patient form

If you have decided to manually add the desired patient, the following view will open. The required tags for the patient are displayed at Point 1 and setup by your pacs administrator. Make sure to enter the correct information before proceeding to the next step.

photodoc patient
Figure 88. Patient form
  1. Input fields for the patient information defined by your PACS.

  2. Confirm the input and continue with the next step.

15.6. Confirmation view

In this step you have the ability to review your assigned photos one last time and to add additional tags to the order that can help with identifying the order at a later stage. (The keywording must be configured at the server to be available, please contact your administrator or mbits support)

photodoc confirm
Figure 89. Confirmation view
  1. Preview of the added images and patient information.

  2. Selection of further tags and information for the order.

  3. Confirm inputs and proceed.

15.7. Assigned view

This view is the default view when you press the photo documentation tab in the top. It is an overview that lists all unassigned photos, pending orders and completed orders. By pressing the unassigned photos (Point 1) you’ll proceed into the review gallery where you can assign those photos like already described above. The list of pending orders (Point 1) are the orders that have not yet been confirmed by the server. This can be caused by no internet connection or that the server is still processing those orders. The completed list (Point 2) shows all orders that are known to be completely processed. By pressing the "Clear completed" button (Point 3) those orders are not shown anymore to you.

photodoc assigned
Figure 90. Assigned view
  1. List of pending orders that are uploading or waiting for approval.

  2. List of completed orders.

  3. Button to clear the list of completed orders.

16. VEO Core

Warning

Decisions must never be made based on the VEO Core results alone. The product should only be used by trained medical personnel familiar with the current guidelines and the perfusion measurement technique. It is up to the user to carefully take into account all available patient information and to put the VEO Core results into the proper context in a holistic way.

16.1. Overview

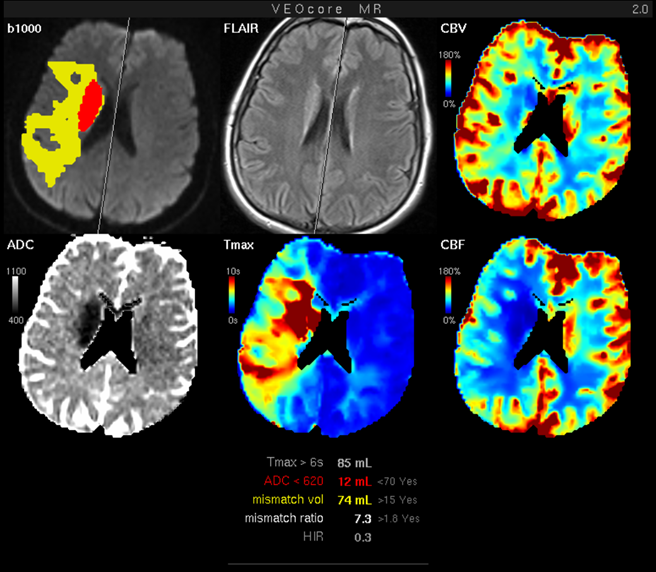
VEO Core is a fully automated image processing tool to calculate quantitative measures of affected brain tissue and healthy tissue. Therefore, this manual covers the instructions on how to interpret the results. It’s an extension the mRay Server application and the results can be viewed inside the mRay Client. Furthermore processed results can be automatically forwarded to the PACS.

16.2. Triggering the data processing

VEO Core does not have a user-interface. Data is processed fully automated on reception of DICOM series. All series should be sent in one rush, otherwise the data processing might be invoked multiple times, and result images might appear in the target PACS multiple times.

For MR and CT, the following DICOM images can be sent to the application. For details on series naming conventions as well as compatible and recommended measurement parameters such as slice thickness, repetition times etc. please refer to the Annex.

16.2.1. Computed Tomography (CT)

  1. CT perfusion (VPCT)
    Repeatedly acquired volumes of low-dose CTs acquired during injection of a contrast bolus. This series is often called VPCT (Volume-Perfusion-CT).

  2. Non-contrast native CT image (optional)
    Native image before contrast injection with a reconstruction kernel optimised for brain tissue. Sending this image is optional, but recommended. If sent together with the VPCT, it is used as background for the overlay with the segmented core and mismatch volume.

16.2.2. Magnetic Resonance Imaging (MRI)

  1. MR perfusion (DSC-Perfusion) (optional)
    Repeatedly acquired volumes of echo-planar imaging acquired during injection of a contrast bolus. This measurement technique is often referred to as DSC-Perfusion (Dynamic-susceptibility-contrast perfusion). Sending a perfusion measurement is optional in MR. If not send, only the infarction core will be segmented based on the ADC (see below).

  2. MR ADC
    Apparent-Diffusion-Coefficient (ADC), berechnet aus einer diffusions-gewichteten Sequenz (DWI-MR). Das senden des direkt am MR-Scanner berechneten ADC ist unbedingt notwendigan ADC, VEO Core berechent keinen ADC selbst aus den DWI-Daten.

  3. MR DWI (optional)
    Diffusion-weighted image of the brain, from which the ADC was calculated. This measurement technique is often referred to as DWI-MR or also trace-weighted imaging. Sending this image is optional. If sent, an improved brain strip can be provided, and the DWI weighted image is used as background for the overlay with the segmented core and mismatch volume.

  4. MR FLAIR (optional)
    Non-contrast, “native” high resolution image of the brain with T2-weighted contrast acquired with flow-attenuated-inversion-recovery (FLAIR) in order to suppress CSF. Sending this image is optional but recommended. If sent, FLAIR images are used as background for the overlay with the segmented core and mismatch volume.

16.3. Result images

The following table lists the output which is created by the application. A detailed explanation of all results is given below.

Name Description

CBF, CBV, Tmax, RGB_CBF, RGB_CBV, RGB_Tmax

Perfusion maps of Tmax, CBF and CBV as grayscale and RGB images.

LesionMap

Main result image: Tiled overview with important maps, segmentation overlays, volumes and warnings

qcontrol_bolus

Quality control: Details on the bolus, AIF selection and quick overview on patient motion. See Quality control image: Bolus.

qcontrol_motion

Quality control: Details on patient motion, and motion correction. See Quality control image: Motion correction.

mask_hypoperf, mask_core, mask_mismatchvol

Segmentations as binary images. Might be of scientific interest to some users, e.g. for studies.

16.3.1. Perfusion maps

Tmax CBF CBV RBG_Tmax RGB_CBF RGB_CBV
veocore tmax
veocore cbf
veocore cbv
veocore rgb tmax
veocore rgb cbf
veocore rgb cbv

Maps of Tmax, CBF and CBV are generated in color (RGB), and gray-scale. Due to downsampling during image processing they might have a different spatial resolution and number of slices than the source perfusion-timeseries. For the coloring, a jet-like colormap is used, ranging from blue to red from low to high values. In terms of quantification, CBF and CBV maps have been normalized to the healthy hemisphere. The midline of the brain was automatically found during processing. In the RGB images, the midline is shown as a gray line such that the user can immediately assess its correctness. Colored images have a fixed colormap window ranging from [0, 150%] for CBF and CBV, and [0sec, 10sec] for Tmax. With a compatible DICOM viewer, the gray-scale images can be windowed to adjust the image contrast, and values can be evaluated quantitatively.

16.3.2. Lesionmap

This is the main result image of the application. It provides all relevant information at one glance. It consists of a tiled overview with a gray-scale native background image for anatomical orientation, the segmented core and mismatch volume as overlays, the important perfusion maps in color and the calculated lesion volumes as numbers and graphical bars. Further, it is indicated whether values are below or above the criteria suggested in the AHA Guidelines based on the DEFUSE-3 inclusion criteria. The image is arranged in a stack of slices, such that the user can scroll through the full brain volume. The layout is slightly different for MR and CT. Further details are given below.

veocore lesionmap ct
Figure 91. CT Lesionmap

For the gray-scale background image the non-contrast native CT image is used if provided. If not the baseline image of the perfusion timeseries is used.

  • Upper left: Gray-scale background image with segmented core and mismatch volume in red and yellow as overlays.

  • Upper right: Gray-scale background image without overlay to cross-check for any visible demarcation.

  • Lower left: Colored CBF map

  • Lower right: Colored Tmax map

  • Bottom: Calculated volumes, other parameters and warnings.

veocore lesionmap mr
Figure 92. MRI Lesionmap

For the gray-scale background image, the FLAIR image is used, if given as input. If not, the MR-DWI image is used. If this image is not given either, the baseline image of the perfusion timeseries is used. If no perfusion is sent, but only the ADC, the result will be presented as 2x2 tiled image without the perfusion maps, and only the core volume will be displayed.

  • Upper left: Gray-scale background image with segmented core and mismatch volume in red and yellow as overlays.

  • Upper middle: Gray-scale background image without overlay to cross-check for any visible demarcation.

  • Lower left: ADC map with fixed window ranging from 400 to 700.

  • Lower middle: Colored Tmax map with fixed window from 0 to 10 seconds

  • Lower right: Colored CBF map

  • Upper right: Colored CBV map

  • Bottom: Calculated volumes, other parameters and warnings.

16.3.3. Quantitative results

veocore quantitative results
Figure 93. CT Lesion Map - quantitative results

In the lower part of the report, calculated quantitative parameters are displayed. Estimated volumes for hypoperfusion, infarct core, and mismatch (penumbra) volume are calculated and reported based on predefined thresholds, as specified in the report. The mismatch volume is calculated as the difference between the hypoperfusion volume and the infarct core volume. For MR datasets, the infarct core is segmented based on the ADC map, in accordance with current scientific consensus. For CT datasets, core segmentation is based on perfusion-derived parameters. The mismatch ratio is defined as the mismatch volume divided by the infarct core volume. The hypoperfusion intensity ratio (HIR) is defined as the ratio of the volume with Tmax > 10 s to the volume with Tmax > 6 s and results in a value between 0 and 1. Net water uptake (NWU) is an image-derived quantitative parameter describing relative density changes and is calculated as a mean value per segmented region. NWU is only available when a non-contrast CT (NCCT) is provided as input in addition to VPCT data.

16.3.4. Warnings

veocore lesionmap warnings
Figure 94. CT Lesion Map - warnings
  1. Low z-coverage - reduced reliability This warning indicates that the perfusion scan covers a limited z-axis extent. Depending on scanner type and acquisition protocol, the imaging volume may not fully cover the MCA territory. In such cases, calculated volumes may be underestimated.

  2. Motion detected - check qcontrol This warning indicates that relevant patient motion was detected during the perfusion scan. Motion may affect the reliability of the calculated results. Refer to 16.3.3. Quality control below for further information.

  3. Low / Late bolus - check qcontrol This warning indicates an atypically low contrast bolus peak and/or delayed bolus arrival. This may be caused by patient-specific characteristics or a suboptimal contrast injection protocol. Refer to 16.3.3. Quality control below for further information.

  4. Time sampling unusual-check qcontrol Perfusion parameter calculation, in particular Tmax, relies on correct and consistent DICOM time information. This warning indicates potentially inconsistent or unusual time sampling. Results should be interpreted with caution.

16.3.5. Quality control

veocore bolus
Figure 95. Quality control image: Bolus

Bolus Details: In the upper part, the following details on the contrast agent bolus are shown:

  1. Temporal sampling of the perfusion time series

  2. Relative peak position of the bolus

  3. Average peak height of the bolus (Hounsfield units for CT, relative units for MR)

  4. Lowest correlation in time series, serving as an index for maximal patient motion

  5. Hemispheric restriction, indicating whether the affected hemisphere could be uniquely identified; if so, subsequent segmentations are restricted to this hemisphere

To the right of these measures, it is indicated by "OK" or a warning message whether the values are within our outside reasonable bounds.

Arterial Input function (AIF): Below the bolus parameters, a plot illustrating the selection of the arterial input function (AIF) is displayed. Time-intensity curves are grouped into all vessels, arteries, and veins and are normalized to their maximum value. The AIF is selected from the arterial group based on early arrival time, narrow curve shape, and signal characteristics. The plot allows the user to visually assess the plausibility of the selected AIF and the overall bolus quality, including arrival, signal level, and potential artifacts.

Patient motion: Below the AIF plot, the correlation of each image of the timeseries with the first image of the series is plotted. This serves as an index for patient motion: Low correlation values correspond to significant patient movement. Correlation curves for both, before and after motion correction are shown. With this, the user can assess the severity of motion, and whether motion was removed to a sufficient degree. If still in doubt, the user can check the situation in more detail with the specific motion correction report (see Quality control image: Motion correction). If time frames could not be sufficiently corrected by the internal motion correction, they are excluded and labelled by gray vertical bars (“dropped spikes”).

veocore motion correction
Figure 96. Quality control image: Motion correction

Patient motion can be assessed by scrolling through a time series of the middle slice of the perfusion volume. Uncorrected and motion-corrected image series are shown to allow visual assessment of motion and correction effectiveness. Correlation curves provide a quantitative motion indicator, and a vertical line marks the current time point in the image stack. If time frames could not be sufficiently corrected by the internal motion correction, they are excluded and labelled by gray vertical bars (“dropped spikes”).

16.4. Interpretation of the results

We suggest the following workflow when interpreting the results:

  1. Open the Lesionmap

  2. Check for warning signs at the bottom of the image.
    If present, cross-check with qcontrol reports and interpret results with care (see CT Lesion Map - warnings).

  3. Focus on the Tmax and CBF image (Tmax and ADC in case of MR). Scroll through the slices and check the following:

    • Can you visually see hypoperfusion and core lesion? If yes, mentally estimate their outline and size.

    • Do you see any motion artifacts? If yes, check directly with the motion quality control qcontrol_motion.

    • Do the images have sufficient signal-to noise?

    • Are there any other artifacts?

    • Is the midline correct?

    • Do the slices cover the full MCI territory?

  4. Focus on the upper left image with the automated segmentations. Browse again through the slices and check the following:

    • Are the segmentations in line with the ones you mentally have in mind from the Tmax and CBF maps? Is there any relevant discrepancy in what you expect and what you see?

    • Do you see false positives in the yellow mismatch volume, at the skull boundaries and in the lowest / uppermost slice? If yes, estimate their relative size and subtract mentally.

    • Do you see false positives in the red core, especially in deep white matter? Check with the contralateral side if values are really abnormal. If not, mentally subtract the false positives

    • Is the slice coverae sufficient / are parts of Hypoperfusion / Core outside of the imaged volume? If yes, consider a potential underestimation of calculated volumes and fall back to visual assessment of Tmax and CBF/ADC.

  5. Focus on the upper non-contrast, native image (Native-CT or Flair-MR).

    • Do you see any demarcation not included in the red infarct core segmentation (=false negatives)? If yes, estimate its volume and mentally add to the given core volume.

  6. Focus on the calculated volumes on the lower part. Do they seem reasonable with respect to what you saw up to now in the images? Do the values make sense? Are the values close to the critical thresholds?

  7. Now, keep the picture you have so far in mind. Check qcontrol_bolus and qcontrol_motion report.

    • Check for low or late bolus warnings

    • Check if the AIF is reasonable

    • Check the patient motion for any outliers.

    • Check the performance of motion correction

If any unclear issues occurred, consider their impact on the results. Motion and a low or late contrast bolus can lead to false positives or negatives. Take in account if there is any relevant discrepancy with clinical presentation.

  • Never use the calculated volumes alone, without checking the feasibility of the segmentations.

  • Only use VEO Core in stress-free situations in order to ensure correct use.

  • Please note that VEO Core does not visualize left or right in datasets. Always correlate with clinical symptom presentation.

17. VEO Aspects

Warning

Decisions must never be made based on the VEO Aspects results alone. The product should only be used by trained medical personnel familiar with the current guidelines and the perfusion measurement technique. It is up to the user to carefully take into account all available patient information and to put the VEO Aspects results into the proper context in a holistic way.

17.1. Overview

VEO Aspects is a fully automated image processing tool to calculate quantitative measures of affected brain tissue and healthy tissue. Therefore, this manual covers the instructions on how to interpret the results. It’s an extension the mRay Server application and the results can be viewed inside the mRay Client. Furthermore processed results can be automatically forwarded to the PACS.

17.2. Triggering the data processing

VEO Aspects does not have a user-interface. Data is processed fully automated on reception of DICOM series. All series should be sent in one rush, otherwise the data processing might be invoked multiple times, and result images might appear in the target PACS multiple times.

For CT, the following DICOM images can be sent to the application. For details on series naming conventions as well as compatible and recommended measurement parameters such as slice thickness, repetition times etc. please refer to the Annex.

17.2.1. Computed Tomography (CT)

  1. Non-contrast native CT image (optional)
    Native image before contrast injection with a reconstruction kernel optimised for brain tissue. Sending this image is optional, but recommended. If sent together with the VPCT, it is used as background for the overlay with the segmented core and mismatch volume.

  2. CT-angiography (CTA) (optional) CTA images are optional. If sent with the VPCT they are used for MIP visualisation and anatomical orientation only and are not used for perfusion quantification or core/mismatch calculation.

17.3. Result images

The following table lists the output which is created by the application. A detailed explanation of all results is given below.

Name Description

ASPECTS

The ASPECTS result provides an automated assessment of early ischemic changes within the defined ASPECTS regions of the MCA territory, based on perfusion-derived parameters. The output supports visual evaluation and standardized reporting of affected regions.

MultiView

The MultiView presents a synchronized, multi-planar visualization of relevant imaging results, allowing combined review of anatomical images, perfusion maps, and overlays to support interpretation of the ASPECTS findings.

17.3.1. ASPECTS Report

veoaspects report
Figure 97. CT ASPECTS Report

The ASPECTS report provides a structured visual and quantitative comparison of predefined brain regions between the left and right hemispheres.

  • Left panel: Non-contrast CT displayed with soft-tissue-optimised windowing.

  • Right panel: Overlay of atlas-based ASPECTS regions (CA=caudate, ICss=internal capsule, LE=lentiformiman, MHS=MRI of the brain) on the CT image.

  • Center panel: Quantitative comparison of net-water-uptake NWU between corresponding regions of the left and right hemispheres.

For each ASPECTS region, mean HU values are calculated and compared with the contralateral counterpart. Based on this comparison, net water uptake (NWU) is calculated. NWU is expressed as a percentage value and reflects early changes consistent with ischemic edema.

The NWU values are displayed graphically as a left-right shift for each region. Two thresholds (6% and 8%) are applied to identify regions with increased NWU. Regions exceeding the lower threshold are highlighted in orange, and regions exceeding the higher threshold are highlighted in red. Thresholds can be customized by the mbits support after consultation. Based on the thresholded regions, an ASPECTS sum score is calculated by subtracting one point from a maximum score of 10 for each affected region. The score is calculated separately for both thresholds, resulting in an ASPECTS range.

The ASPECTS evaluation tool provides supportive quantitative information only. The results must be interpreted by a qualified user in conjunction with clinical information and other imaging findings. The tool does not provide a diagnosis and must not be used as the sole basis for clinical decision-making.

17.3.2. MultiView

veoaspects multiview
Figure 98. CT MultiView

The MultiView report provides a consolidated visual overview of the ASPECTS results, perfusion results, and—if available—CTA MIP images. It supports review of all relevant outputs at a glance and facilitates visual comparison between non-contrast CT findings and perfusion-derived results.

The MultiView report is a presentation of previously generated results only and does not perform additional analysis.

17.4. Interpretation of the results

We suggest the following workflow when interpreting the results:

  1. Open the ASPECTS Report first.
    If the MultiView is available, it is recommended to use the MultiView for an overview review.

  2. Confirm that the non-contrast CT used for analysis was reconstructed with a soft-tissue kernel and is shown in appropriate windowing. Results generated from bone kernel reconstructions are not valid and must not be interpreted.

  3. Review image quality and input data

    • Scroll through all slices used for the analysis.

    • Check correct atlas alignment with the skull, ventricles, and anatomical landmarks.

    • Confirm that the full MCA territory is covered.

    • Check for relevant artifacts (e.g. motion, metal implants).

    • Review the images for visible hemorrhage or pre-existing infarcts.

  4. Review ASPECTS / NWU results

    • Review the left-right shifts of the NWU values for plausibility and correspondence with visual CT findings.

    • Review highlighted regions and assess whether they correspond to visible density differences on the non-contrast CT.

  5. Review perfusion results (in MultiView)

    • Verify spatial alignment between non-contrast CT, perfusion maps, and CTA-MIP (if provided).

    • Assess whether perfusion findings are consistent with the observed ASPECTS/NWU results.

17.5. Cautions and limitations

  • The software does not detect hemorrhage, pre-existing infarcts, or bilateral infarctions. In such cases, results may not be interpretable.

  • Pre-existing infarcts in the contralateral hemisphere may lead to false-positive findings on the unaffected side and false-negative findings on the affected side.

  • The report must never be used as the sole basis for interpretation. Original images must always be reviewed.

  • The software should be used in a stress-free environment to ensure correct handling and interpretation.

  • The software does not label left and right. Results must always be correlated with clinical presentation.

18. Appendix

18.1. System requirements

The client software is installed on the devices via their corresponding software stores (Apple App Store or Google Play Store) or manually via software packages.

18.1.1. Operating System

The mRay Client is intended for use on common dedicated operating systems.

The following operating systems are supported:

  • Android 9 - Android 16

  • iOS 14 - iOS 26

  • Windows 10 64-bit - Windows 11 64-bit

  • macOS 14.0 (Sonoma) - macOS 26.0 (Tahoe)

18.1.2. Hardware Requirements

The minimum hardware requirements for Windows/macOS mRay Desktop Client are:

  • CPU: 4-core (x86 64bit/arm32/arm64)

  • GPU: OpenGL 2.0 compatible GPU

  • RAM: min. 4 GB

  • Storage: 20 GB, SSD preferred

mRay Client is recommended to be used on the latest hardware of each operating system.

The default recommended devices for diagnosis and reporting are:

  • iPad Pro (12" Version)

18.1.4. Web Browsers

The mRay WebClient can run on web browsers of both desktop and mobile devices.

The compatible versions are:

  • Chrome (starting from version 57)

  • Firefox (starting from version 52)

  • Edge (starting from version 16)

  • Safari (starting from version 11)

18.2. Security recommendations

  • Please make sure you keep device operating system up to date.

  • Always use the latest version of the mRay application.

  • Protect your device with strong authentication (password, fingerprint etc.)

18.3. Precautions

  • Please ensure adequate light conditions when operating mRay.

  • Please ensure a clean display while operating mRay.

  • Only use mRay in stress-free situations in order to ensure correct use.

  • Please note that mRay does not visualize left or right in datasets.

  • Please ensure that the system clock and time are correctly configured.

  • Please ensure that your device is secure against electromagnetic rays before using mRay in a magnetic resonance imaging room.

  • Please ensure that you are using the latest version of mRay after reinstallation of the application.

18.4. FAQ

The most recent FAQ can be found under the following link: https://mbits.info/en/mray-faq/

18.5. Known issues

The list of known issues leads to problems identified after the release of the latest version of mRay. These problems, however, were classified as non-critical, so that an unrestricted working with the application is possible.

  1. Pseudonymization of images is not applied to the burned-in pixel data information. Please communicate this fact to the users to ensure that the data is sent only to pools for which Pseudonymization is turned off.

  2. Form fields for floating point numbers within the configuration application only accept values in English format, i.e. with a point as a delimiter.

  3. The auto-download setting WiFi/Mobile is not applicable for the Windows version of mRay client app.

  4. Multi touch gestures might trigger a button press event if they end above a button. This will happen although the gesture is recognized as intended.

  5. Emojis in text fields can behave unexpectedly.

  6. A global cache path to a network drive can cause problems (concerns mRay server only).

  7. Automatic memory management on the mobile device may be incorrect if several mRay accounts are used on the device. Although the data is no longer accessible, they are not deleted under certain circumstances.

  8. Right click is not working on Windows Surface.

  9. Messaging: attachment is rendered with 'no access' despite being able to open the attachment.

  10. Inbox: Search within study that has no result leads to jumping back to top level (usability bug).

  11. Multi-Frame MR images are not fully supported. Varying spacing on one slice is not supported.

  12. Mobile Web Client file upload not supported in mRay.

  13. During server configuration it may be possible that changes to the user database will lead to a re-connect for currently connected clients.

  14. In some very rare cases the install process may fail due to a blocked dll file. Installation can be continued/succeeded by restarting the machine (concerns mRay Server only).

  15. In some very rare cases PDF reports generated by a plugin are empty. The reports are retrieved from a PACS as DICOM Structured Report to generate a PDF using a template (concerns mRay Server only).

  16. Web Client in Safari does not support the “+” Button for uploading files. Use drag & drop instead.

  17. Speech-to-text on iOS may not work when used for the first time. Try using speech-to-text in another app and return to mRay.

  18. On some smaller devices it’s possible that the server field is not visible inside the login screen when device is held in landscape orientation.

  19. Text scrolling in multiline textfields on iOS is not possible, if the textfield is contained in a scroll area. To scroll use the scrollbar of the scroll area instead.

  20. A version incompatibility exists between mRay 6.8.0 (or higher) and older mRay versions when sharing the current viewer settings with another user e.g. in chat or during screen sharing: When viewing two series in sync aligned mode and one of the series has smaller dimensions than the other, the older mRay Version doesn’t correctly display the smaller series.

  21. Safari treats the links "Imprint" and "Privacy Policy" as pop-ups and blocks them. Allow pop-ups.

  22. The import function in the web client cannot process data records > 3 GB. Upload the data records in packages of 2 GB.

  23. When starting mRay webclient in Safari on an iPad it might be load the desktop version of the page instead of the mobile version. Either use chrome or switch to mobile version in your safari settings.

  24. If a key image of a slice with annotations is created, it may happen that the original annotations overlap with the new ones and become illegible. In this case, delete the annotations from the layer.

  25. If different window settings are assigned to individual slices within a series, these settings are not automatically applied when viewing. In such cases, the desired windowing must be manually adjusted using the Level/Window tool.

  26. When viewing DICOM series with multiple VOI LUTs or Window Center/Width (WC/WW) settings, mRay does not allow users to select between all available options in the DICOM file. The intended contrast or brightness for certain slices may not be automatically applied.

  27. The built-in TG18-OIQ test image in the mRay app has a black pixel in a gray area. This pixel does not affect the calibration itself.

  28. If the client is open for several weeks in a row and frequently loses and re-establishes the connection to the server during this time, where there are many records that need to be synchronized, it may happen that the app crashes and restarts itself.

18.6. Abbreviations

  • DICOM: Digital Imaging and Communications in Medicine

  • CT: Computed Tomography

  • MRI: Magnetic resonance imaging

  • PET: Positron emission tomography

  • XA: X-Ray Angiography

  • CR: Computed Radiography

  • US: Ultrasound

  • DWI: Diffusion Weighted Imaging

  • MG: Mammography

  • PACS: Picture Archiving And Communication System

  • AD: Active Directory

  • MPR: Multiplanar reconstruction

  • MIP: Maximum intensity projection

  • DNS: Domain Name System

  • LDAP: Lightweight Directory Access Protocol

  • PPI: Pixels per inch

  • ROI: Region of interest

  • HL7: Health Level 7

  • NWU: Net Water Uptake

  • VPCT: Volume-Perfusion CT

19. Revisions

19.1. Changes in version 34.0

19.1.1. Changelog

mRay VEO Aspects

  • Graphical representation of the ASPECTS score and HU shifts for a more accurate stroke assessment

  • New MultiView layout (in combination with VEO Core) for a comprehensive, clear side-by-side representation

mRay VEO Core

  • Improved detection of vertebrobasilar occlusions for optimized assessment of posterior circulation cerebral infarcts

  • Intelligent hemispheric restriction to reduce false positive findings

  • Extended stroke processing with robust motion artifact correction, consistent temporal resampling logic, and physiology-based normalization of CBF and CBV

  • New derived metrics: Hypoperfusion Intensity Ratio (HIR) and Net Water Uptake (NWU)

  • Seamless integration of VEO ASPECTS MultiView for a unified stroke assessment

mRay Connect

  • Flexible login for LDAP accounts with username or email address

  • Web link validity is configurable (e.g., custom time limits or unlimited)

  • Full support for Android 16

  • General stability improvements and bug fixes, including CT slice order, 16-bit RGB processing, reliability of auto-downloads, and Android black screen issues

mRay QR-Codes

  • Grouping multiple studies into a single QR code based on the shipment date

  • Optional configuration of QR code validity for patient-based QR codes

19.1.2. Bug fixes

  • Correct display of 16-bit RGB datasets

  • Fixed intermittent 2FA authentication validation errors

  • Fixed missing pool names in the inbox

  • Fixed a random auto-download error

19.2. Changes in version 33.0

19.2.1. Changelog

  • Ideal for teaching and training: The new teaching mode with seminar links makes mRay the perfect solution for lectures and seminars.

  • Better performance – even with large datasets: Optimized loading speed enables faster app startup, quicker login, and swift study loading in the inbox.

  • Automatically correctly aligned: In all MPR modes (Axial, Coronal, Sagittal), images are now automatically rotated to the standard view.

  • Smart sharing with web links: Web links can now be sent with a personalized comment and an automatically generated QR code – ideal for easy access via email, print, or mobile device.

  • Known issues updated

  • Spelling corrections and version updated

19.3. Changes in version 32.0

19.3.1. Changelog

  • mRay supports the new DLx standard

  • Supplementary and corrective findings are now clearly separated from each other

  • mRay call at patient level directly via URL

  • Chat authorisations: Restricted visibility between user groups

  • Known issues updated

  • Spelling corrections and version updated

19.3.2. Bug fixes

  • Input fields in the mRay web client now support familiar behaviour such as copy & paste, focus change and keyboard input analogous to other web applications

  • If the upload of images in the Foto-Dok workflow fails, the job can now be repeated manually; images and job data are retained for as long as possible

  • Reliability of push notifications on Android and iOS improved - all messages now arrive as expected.

19.4. Changes in version 31.0

19.5. Changes in version 30.0

  • Copyright and version updated

19.6. Changes in version 29.0

19.7. Changes in version 28.0

19.8. Changes in version 27.0

19.9. Changes in version 26.0

19.10. Changes in version 25.0

19.11. Changes in version 24.0

19.12. Changes in version 23.0

19.13. Changes in version 22.0

19.14. Changes in version 21.0

19.15. Changes in version 20.0

19.16. Changes in version 19.0

19.17. Changes in version 18.0

  • Updated the Tools chapter

19.18. Changes in version 17.0

  • Restyled the entire manual

  • Adaptations for chat functionality (see Messaging)

  • Changes regarding the new cross-reference lines (see Viewer)

  • Improved Screenshots