1. Revisions

1.1. Changes in version 25.0

1.2. Changes in version 24.0

1.3. Changes in version 23.0

1.4. Changes in version 22.0

1.5. Changes in version 21.0

1.6. Changes in version 20.0

1.7. Changes in version 19.0

1.8. Changes in version 18.0

  • Updated the Tools chapter

1.9. Changes in version 17.0

  • Restyled the entire manual

  • Adapations for chat functionality (see Messaging)

  • Changes regarding the new cross-reference lines (see Viewer)

  • Improved Screenshots

2. Symbols

Note

This paragraph contains additional information for the reader.

Tips

This paragraph contains additional tips for the usage of the product.

Warning

This section contains warnings that can occur when the application is not used correctly.

Caution

This paragraph tells the user that the application must be used carefully.

Important

This section includes important information for the usage of mRay.

3. Manufacturer

mRay 6.5
Radiological image viewer for mobile devices with image processing functions
© 2021 mbits imaging GmbH

icon manufacturer

mbits imaging GmbH
Bergheimer Straße 147
D-69115 Heidelberg

ce sign

3.1. UDIs

mRay Client Android Store

42606483500530

mRay Client iOS Store

42606483500547

mRay Client macOS Store

42606483500554

mRay Client Web

42606483500561

mRay Client Windows Desktop

42606483500578

mRay Client Windows Store

42606483500585

4. Intended Purpose

The software mRay as a radiology instrument can be used by medical specialists for the visualization of image data. Image processing allows the calculation and visualization of healthy and abnormal tissues.

5. Intended Use

5.1. General

The patient group, for which mRay can be used, includes all patients from whom radiological image data has been created for the purpose of diagnosis or treatment. In a worst-case scenario the medical condition of the patient may be critical.

mRay can be operated in hospitals, medical practices, on the go or at home. The software is dedicated for mobile devices for fast and immediate access to radiologic images for informational purposes. When using mRay for diagnostic purposes, national regulations must be considered and an appropriate display must be used. mRay allows the display of images and data types that are defined by the Digital Imaging and Communications in Medicine (DICOM) standard (e.g. computed tomography (CT), magnetic resonance imaging (MRI), positron emission tomography (PET), fluoroscopy (XA), digital x-ray (CR), ultrasound (US)). The software offers common radiological software tools (e.g. windowing, measurements, thick slices and annotations).

Furthermore mRay is capable of performing image processing tasks such as finding, visualizing and quantifying anomalies in tissue. In particular the image analysis module mRay VEOcore may be used to perform an automated processing of brain images from imaging modalities such as CT, CT-Perfusion, or MRI including a Diffusion Weighted Imaging (DWI) Module. As a result, changes in contrast over time are visualized as colored perfusion maps, including flow related parameters and tissue blood volume quantification.

5.2. Contra-indications

mRay may not be used in Germany on a calibrated mobile device if reporting has to be performed for a x-Ray image (CR) or mammography (MG). Reporting may be performed on a regularly calibrated monitor ("Bildwiedergabegerät") with the mRay software.

5.3. Medical benefits

If mRay is used for viewing medical image data it can be used in the decision process for diagnosis and therapy. The following functionalities allow to do so.

To examine findings in CT images mRay Client is able to visualize images in accordance to the DICOM Grayscale Standard Display Function. By doing so a suitable mobile device is acting as a "Bildwiedergabesystem mit Befundqualität" in accordance with the DIN 6868-157. The constant availability of mobile devices results in time savings compared to stationary solutions.

The perfusion analysis of brain imaging data visualizes and quantifies tissue that is less supplied with blood (penumbra), oxygen deprived tissue caused by obstructed blood flow (core tissue) and the mismatch ratio between the two. The calculated values can be used to support decision making based on an assessment of the extent of tissue damage.

5.4. Warnings

  • mRay may not be used on a mobile device (tablet, smartphone or notebook) in a room containing a Magnet Resonanz Imaging (MRI) scanner.

5.4.1. Notes for use in diagnosis findings

For the use of mRay in the diagnostic context on mobile devices according to the German legal regulations (QSRL, DIN 6868-157), the instructions under the link must be followed: https://mbits.info/downloads/mRay-Nutzungsanweisungen_Befundung.pdf.

When operating mRay on a Windows PC or Mac, the image display system (BWS) must be calibrated and approved accordingly. Restrictions with regard to the modalities must then be derived from the BWS.

6. Overview

mRay is a mobile viewer application for radiological images. It supports DICOM image files as well as other common image formats and PDF files. The the major functions of use are:

  • Receive DICOM data per pre-defined communication setup by Picture Archiving And Communication System (PACS)

  • Overview about all available patients, including a search function (name, birth date,imaging modality)

  • Selection of to be reviewed DICOM data to download an entire set of data (multiple patients, multiple studies or multiple series)

  • Visualization of the DICOM data in a well-established way of DICOM viewing (analogous standard tools for medical image viewing)

  • Assessment of DICOM data by means of standard navigation tools (level window, panning,zooming, etc.)

  • Take pictures for wound documentation and send them as a DICOM file to your PACS including all necessary meta information

  • Calibration routine to adjust the display of grey vaules on a device - DICOM Greyscale Standard Display Function

  • Create simple textual reports and store them as a DICOM file

  • Load and create level window presets

  • Manual measurement of structures of interest on 2D slices including angular and length measurements as well as statistical computations in a region of interest

  • Adding text annotations to images

  • Multiplanar reconstruction for CT datasets (MPR)

  • Thickslices by means of maximum intensity projection for up to 11 slices (MIP)

  • Browse PACS by DICOM Query (C-FIND)

  • Request data by DICOM Retrieve (C-MOVE)

  • Encryption and compression of data stored/transmitted

  • Sending messages / images / key images to colleagues, which are shown in a contact list

7. Installation

The installation can be done by each user himself.

7.1. Installation

The mRay application is installed via the respective AppStore of the operating system: AppStore for macOS & iOS, Google PlayStore for Android and the Microsoft Store on Windows. Alternative installation packages can be requested from the support team.

A list of installation packages can be found here:

7.2. Update

The mRay application is automatically upgraded to the latest version via the update mechanism of the respective operating system / AppStore.

Make sure that automatic app updates are enabled. Otherwise, perform the update manually.

7.3. Uninstallation

The mRay application is completely deleted when the app is removed using the standard procedure for the respective operating system.

8. Getting started

8.1. Welcome screen

The welcome screen appears as soon as the application has been started (Loginscreen). After deciding wether or not the cloud service should be used, additional text fields for username and password will appear. In the next screen you can then enter your credentials to proceed into the application (see Cloud Login or Own server login). If the login data is correct you will be directed to the main screen of the application. Enter your login credentials to log in.

60%
Figure 1. Loginscreen
  1. mRay Cloud: Use a hosted mRay Server, where you can register and upload your own DICOM data.

  2. Own mRay Server: Use a mRay Server hosted by your clinic.

Please take note of the following hints for use of mRay
  • If it is your first login it could take a little time („Connecting“ is written in the status field) – dependent on your connection speed.

  • By clicking and holding a button you can call the interactive help. Thus you can find out every functionality behind a button anytime.

  • If a PIN code is necessary on your device, you’ll stay logged in for a specific period, which means you don’t need to enter your login credentials every time you start the app. The period can be adjusted by your admin.

  • Please set the correct date and time on your device when you are using mRay.

8.2. Cloud login

Use the mRay Cloud service to quickly share and upload your personal medical data.

60%
Figure 2. Cloud Login
  1. E-Mail: Enter the mail you used to register at the mRay Cloud.

  2. Password: Enter the password you used to register at the mRay Cloud.

  3. Login: Login with the entered credentials.

  4. Register now: Create a new account for the mRay Cloud. See Cloud Registration.

  5. Reset password: Reset your password when you forgot it. See Reset password.

60%
Figure 3. Cloud Registration
  1. E-Mail: Enter the mail you want to register with to the mRay Cloud.

  2. Name: Enter your fullname, which will be displayed.

  3. Password: Enter your new password (atleast 6 characters long).

  4. Repeat password: Repeat your password.

  5. Phone number: Enter your phonenumber (optional)

  6. Institution: The institution where you work (optional) .

  7. Occupation: The profession you are engaged in (optional) .

  8. How did you hear about mRay: Help us by telling us how you heard about the product (optional)

  9. Advanced Data Use: Allow anonymized use of your data for research and development purposes (optional) .

  10. Updates and product information: Receive updates on mRay and other news from mbits (optional) .

  11. Terms of use and privacy policy: Read through the terms of use and privacy policy. Accepting this is necessary to register a cloud account.

  12. Register: Proceed to register your new account.

60%
Figure 4. Reset password
  • E-Mail: The mailadress of the registered user.

  • Reset password: Send a reset link to the specified mail adress.

8.3. Own server login

You can use the custom server login to connect to a mRay Server instance that is hosted by the hospital / medical institution you work at.

60%
Figure 5. Own server login
  1. Server-Url: The DNS entry or IP-Adress of the mRay Server you want to connect to. The port can be omitted, if the port of your server installation is 32000.

  2. Username: The username that should be used to login.

  3. Password: The password for the username you selected.

  4. Login: Login to the specified server with the given credentials.

Custom server login

Please contact your administrator to get the server address and your login credentials when using a custom server.

8.4. PIN Check

A PIN check will be neccesarry when logging in with an ActiveDirectory (AD) account for the first time. The PIN will be send to the mail address registered in your ActiveDirectory account. The keyboard can be opened by tapping on the input field (PIN Check). The PIN will be validated immerdiantly after entering the sixth digit.

40%
Figure 6. PIN Check
The PIN dialog features the following UI elements:
  • Notification including the mail address the PIN has been sent to.

  • The PIN input field. The keyboard will open by tapping on the input field.

  • You can close the PIN dialog by tapping on the close button. This will cancel the login process.

8.5. Two Factor Authentification

Follow these steps to enable Two Factor Authentification on your device.

Preparations

Download an Authenticator App(eg. Google Authenticator or Microsoft Authenticator) from the AppStore(Apple) or the Google Play Store(Android).

2FA 1
Figure 7. First two steps
2FA 2
Figure 8. Third step
2FA 3
Figure 9. Fourth step
2FA 4
Figure 10. Fifth step
  1. Open the mRay App and click or tip on the mRay Symbol in the upper left corner.

  2. Open the mRay Settings with the gear symbol.

  3. Go to Account management.

  4. Continue with Two-factor authentification.

  5. Press "Enable 2FA".

2FA 5
Figure 11. Enable Two Factor Authentification

6. Copy the token from mRay and paste it in your authenticator app.

In your authenticator app:
• use your mRay username.
• Set "Time-based" as key type.
• Remeber the displayed digits and switch to mRay.

7. Press "Validate" in mRay and insert the 6 digits from your authenticator app.

2FA 6
Figure 12. 2FA Enter code

8. Insert the 6 digits from your authenticator

2FA 7
Figure 13. 2FA enabled

9. You successfully enabled Two Factor Authentification in mRay

9. General

9.1. Inbox

The inbox will be opened after logging in (Inbox). With this you can browse and select the wanted DICOM files, which are enabled for you through the server. Thus you can see all files on the mRay server on which you have access rights.

Scrolling through long lists

Swipe up/down to scroll through lists or use the scrollbar on the right of a list to navigate quickly through them.

inbox
Figure 14. Inbox
  1. A green icon shows, if you are connected to the server. In case of a red icon you can work with the local saved files, but of course you can’t receive new files. By clicking the mRay logo you can open the main menu.

  2. Switch to the Messaging menu (see below - only if this function has been activated in your system).

  3. Switch to the search dialog. Here you can search the whole mRay database or query a PACS (if configured).

  4. Switch to Favorites: It is possible to mark your favorites with the star symbol (Item 8). Favorites are working as a kind of bookmark and and they will be deleted last by the automatically storage management of the application (which means your favorites will only be deleted if it is necessary due to your Settings to the data retention or due to low space on your device).

  5. Switch to the Photo documentation

  6. Here you are able to quickly and easily share, mark as favorite or download a whole study. Further actions can be performed with the Context menu.

  7. Shows information, missing information and meta data from a patient.

  8. Shows an overview of the contained series in a study. By clicking a study you will get to the series selection (see below). The green marker indicates that the image data is stored locally.

  9. The time will appear as soon as the data arrived in the mRay (by sending from a PACS and searching in the mRay database). mRay can be configurated to automatically delete data after 'X' hours (default: after 8 hours).

  10. Here you can filter your inbox by text entry. Please note: By filtering you don’t start a PACS query! See item 3 for PACS queries. Please also mind the notes to special characters in the 'known issues'.*

  11. Take a photo: see section for secondary capture for further explanations

  12. File-Upload: Upload your own DICOM data to the server. Only available if the server supports it.

Hide entries in the inbox

By swiping right within a list container you are able to hide single study or series. Those won’t appear in the list anymore. To view hidden datasets you need to click the button 'show hidden datasets' in the Settings. Hide all data at once by executing the gesture with three fingers at the same time.

9.2. Series selection

By clicking a study inside the Inbox you will get to the series selection (Series).

series
Figure 15. Series
  1. Back: return to the inbox.

  2. Datasets: Enumeration of all recorded images of the study of a patient.

By cicking a series it will be downloaded (if it’s not already downloaded) and opened for viewing.

9.2.1. Context menu

From the Inbox, as well as from the Series selection it’s possible to execute more actions through the context menu.

contextmenu
Figure 16. Serien
  1. DICOM Download: In case the current user has it enabled, it’s possible to download the DICOM data of the series or study. If a series is a DICOM PDF, a regular PDF will be created and downloaded as well.

  2. DICOM-Tags: In case the current user has it enabled, it’s possible to view the DICOM tags of the series.

  3. Delete dataset: In case the current user uploaded the dataset himself, he/she can delete them here again (from the server & client).

9.3. Barcode scanner

Use the barcode scanner to quickly and easily insert patient IDs into text fields. This function is available in various text fields, such as the search for the patient ID. Hold the camera image over the barcode and make sure that the entire barcode is in the marked area. If the barcode has been recognized, the text is automatically transferred to the text field.

scanner
Figure 17. Barcode Scanner

The main menu will be opened after clicking the mRay logo (Main Menu).

main menu
Figure 18. Main Menu

The following functions are available:

  1. Shows the currently logged in user and his profil photo.

  2. Opens the Settings screen.

  3. URL of the server you are currently connected to. If there is a download in progress you can see the current download speed here.

  4. DICOM Switch between default calibration settings or no calibration. If you want to calibrate your device contact your mbits support staff.

  5. Tests the download speed of datasets from the mRay server (available if your mRay server is configured to provide such data).

  6. Opens the Lux meter to determine the current room class (only available on Apple devices).

  7. Here you can perform the daily constancy check in accordance to the german DIN 6868-157.

  8. Opens the What’s new? dialog.

  9. Opens the Data privacy statement.

  10. Opens the Imprint.

  11. Opens the About mRay dialog

9.5. Settings

On this screen you can adjust your settings just as you want (see Settings).

settings
Figure 19. Settings
  1. User settings: customization of your user name and profil photo.

  2. Device settings: adjust the settings that are specific to the device you’re currently using.

  3. Account management: change your account settings.

  4. Logout: leave the server you’re currently connected to.

9.5.1. User settings

settings user
Figure 20. User settings
  1. You can customize your profile photo via the "Camera" icon. To do this, you can select any photo from your files.

  2. Name: You can change your name via the "pencil" icon.

  3. This field shows the email you are logged in with.

9.5.2. Device settings

settings device
Figure 21. Device settings
  1. General: configure overall settings that affect the app appearance on this device:

    • User interface scaling: by which factor the user interface elements (e.g. buttons) should be scaled on this device.

  2. Chat: adjust settings related to chat functionality:

    • Notifications: What kind of notifications you want to receive

    • Link sharing: Select the behavior on how to share mRay Links

  3. Data: adjust settings related to device storage:

    • In use: How much diskspace mRay currently uses. On selection allows deleting all used data.

    • Maximum disk usage: How much diskspace should be used before starting to delete data automatically.

    • Autodownload: In which networks datasets should be downloaded automatically upon arrival.

    • Show hidden files: Reshow files that you did hide in your Inbox before.

  4. Display: Settings regarding constancy check reminders and calibration.

Some device settings might not be available on certain platforms (e.g. the webclient has no autodownload).

9.5.3. Account management

settings account
Figure 22. Account management
  • Change password: Change your password. See Change password.

  • Biometric authentication: Allow biometric authentication for your user on the current device.

  • Uploaded data: The amount of data you have uploaded to the server. By clicking you can erase your uploaded data.

  • Delete account: Delete your account on this server.

Some account options might not be editable depending on your account configuration (e.g. LDAP users).

9.6. Change password

By using the Change password screen you are able to change your personal account password, without contacting your admin. The following figures will visualize the procedure

change password
Figure 23. Change password

The following items will show you the functionality of this screen:

  1. Your old password is needed in this input field. That’s necessary to protect your account from foreign access.

  2. Insert your new password in this input field, which will be valid as soon as the change is successful.

  3. To prevent typing errors you need to insert your new password again in the next input field.

  4. This indicator shows how strong your new password is on a scale from 0 to 100 percent. 0 means very weak and 100 means very strong. The traffic light colors are also an indicator about the strength of your new password.

  5. By clicking this button you accept the input and your password is changed. It requires a connection to the server to get the changed password to every device. The button will be enabled as soon as all input fields are valid.

Please take care that you are able to type all the special characters via your touch devices, if you want to use special characters in your password. Otherwise you have no opportunity to log in. If you use special characters by a mistake and are not able to log in anymore, please contact your admin to reset your password.

9.7. Download test

download test
Figure 24. Download test
  1. Performs a quick test. The measurement is only estimated, but the duration of the test is shorter than for the complete test.

  2. Performs a detailed test. The measurement takes longer, but the specific values are exact.

  3. This area displays the progress and results.

  4. The images used for the download test are displayed here. The green bars show the progress of the download. The images can also be opened for viewing.

The 'Quick' variant is only an estimate. For a more meaningful value for the distance measurement in the constancy test, please use the 'Detailed' button.

9.8. Lux meter

The Lux-Meter can be used to identify the room class of the current environment.

luxmeter
Figure 25. Lux-Meter
  1. Show the current lux value and room class.

  2. Starts a measurement of the room class. The recorded values are averaged over time. This simulates the recording of ambient light using the device’s built-in front camera. Move the device until the measurement is finished.

  3. Cancel the measurement here

luxmeter popup
Figure 26. Lux-Meter pop-up
  1. Pop-up shows the measured room class and can be closed with the X button.

Due to the measurement method, the recorded values are only an approximation of the actual lux value and thus the room class.

9.9. Constancy check

constancy
Figure 27. Constancy check
  1. Test criteria (The numbers refer to the test pattern elements from DIN 6868-157).

  2. Hide the form mask. This can be recalled at any time (tap on the test image shows button with check mark).

  3. Select the criterion with the check mark if the condition is fulfilled.

  4. Save the execution and its results.

  5. Get more information (opens the manual, see following section).

tg18
Figure 28. DIN 6868-157

The figure shows the individual test pattern elements. The following points must be checked in detail (according to the standard):

  1. Visibility of the line pair grids with high CONTRAST in the middle and in the four corners of the TEST IMAGE (test pattern element 1)?

  2. Visibility of the 5 % and 95 % fields (test pattern element 2)?

  3. Quality control:

    1. In the white and grey field:"QUALITY CONTROL" for all room classes

    2. In the black field:

      1. Mammography:"QUALITY CONTROL".

      2. RK1 (? 50 lx):"QUALITY CONTRO".

      3. RK2 (? 100 lx):"QUALITY CONT".

      4. RK3 (? 500 lx):"QUALITY CON" (test pattern element 3)?

  4. Visibility of the borders and lines of the raster and the centering of the raster in the active area of the Display (test pattern element 5)?

  5. Continuity of the appearance of the gradient bars (test pattern element 7)?

9.10. Notifications

mRay informs users about new datasets and messages. These notifications will appear in the center of the upper edge on the screen when the application is opened, or as a system notification (Device notifications) when the application is running in background (Inapp notifications, Item 1). The number of new arrived datasets and messages will be displayed as badges on the corresponding tab symbols of the inbox and the messenger (Notification badges). You may change the types of notifications in the Settings menu.

notification badges
Figure 29. Notification badges
notification inapp
Figure 30. Inapp notifications
notification os
Figure 31. Device notifications

The notifications do not contain patient data or contents of messages to provide protection and privacy as good as possible.

With the search function you can search the database of your mRay server quickly and easily. The results list shows records matching your search criteria. The search results can be moved to the inbox using the Download button. You can also view records directly in the search or simply share them with a colleague. Note that, of course, only those records appear that you have been granted access rights to. If the desired data record does not appear in the list, it is possible to make a corresponding request via one or more connected PACS. The search fields can also be customized to suit your needs.

  1. You can specify your search criteria here

  2. The search fields can be customized by pressing this button

  3. Send the search query to a PACS (available if your mRay server is configured accordingly)

The search fields can be customized and the following fields are available for selection:

  1. Patient ID

  2. Patient name

  3. Birthdate

  4. Study description

  5. Studies from (date and period of study)

  6. Modality

  7. Referring Physician

  8. Station (DICOM Tag Requesting Service)

  9. Accession number

Note on the PACS Search
  1. If you want to search by first name and surname, please use the notation "surname^first name".

  2. Make sure that you limit your search as much as possible. In this way you will quickly receive a search response and avoid possible wrong results.

  3. The PACS results list is also divided into studies / series. You can request the corresponding entry from the PACS at any level.

  4. With the download button on the left side of an entry, you can request the study/series from the PACS. Please note that it may take some time to transfer from the PACS to the mRay server and finally to your device.

Please note the following general information on the PACS search

mRay forwards your input to your PACS. So if you want to use so-called wildcards (*/?), you can do the same as from your usual PACS environment. Only the wildcard character "*" is appended to the name field by default. If you do not make an entry, the field is ignored during the query.

9.12. Favorites

In the favorites tab your bookmarked datasets will be enumerated. They will be viewed just like in the patient list. You can also remove them from your favorites (see chapter Inbox).

Various options are available when sharing content via links.

  1. Choose if the recipient can download the content.

  2. Allow the recipient to download the shared DICOM data.

  3. Select when the link should expire. The content is visible for the recipient up to 6 months.

  1. You can copy the link manually or tab on "Share link"("copy" on desktop computer) to share with another app.

  2. Alternatively you can send the content direct to an Email-address.

  3. Send this PIN to your recipient. The content is only visible when entering this PIN

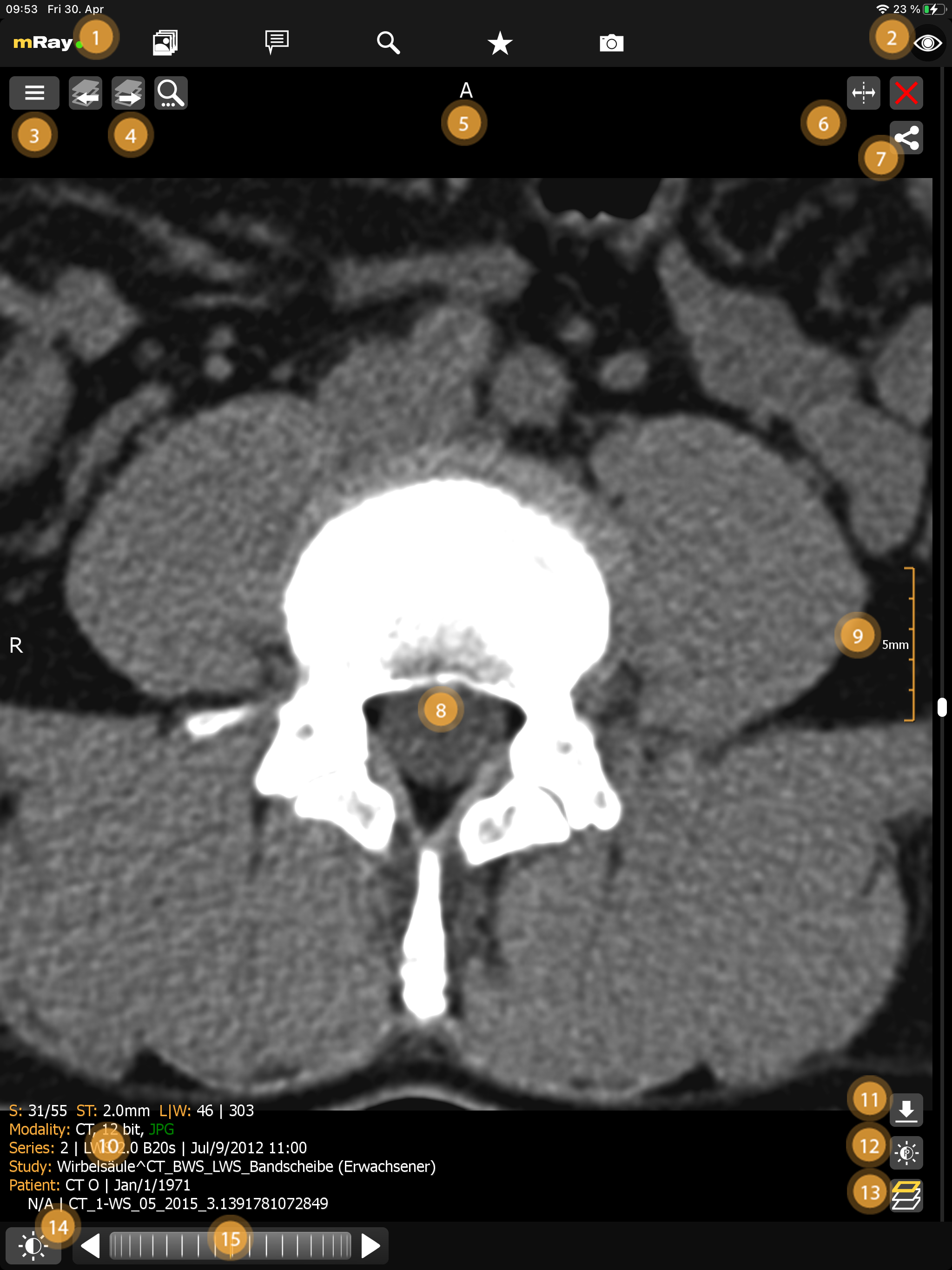
10. Viewer

Selecting a series from the Inbox will open the viewer.

viewer
Figure 35. Viewer

The following functionality is available:

  1. Open the Main menu and keep an eye on the connection to the server via the traffic light system.

  2. Toggle-information-button switches between different modes for the information overlay:

    1. All information: display all user-controls and meta-data for the current dataset.

    2. Minimal information: only display the patient name and the image-orientation

    3. No information: only display the imagedata.

  3. Switch back to the Inbox with the inbox button.

  4. Switch to the previous or next series within the study, in case there is more than one series available.

  5. Shows together with the sign on the left edge of the screen the orientation of the image by the view of a patient.

    1. There are the following possibilities:

      1. A - Axial: Devides upper from lower body.

      2. S - Sagittall: Devides the left half of the body from the right.

      3. C - Coronal: Devides the front half of the body from the rear half.

    2. In case the X-axis describes the width, Y describes the depth and Z describes the height, the directions will be determined like in the following:

      1. R - Right: The direction in which X decreases.

      2. L - Left: The direction in which X increases.

      3. A - Anterior: The direction in which Y decreases.

      4. P - Posterior: The direction in which Y increases.

      5. F - Feet: The direction in which Z decreases.

      6. H - Head: The direction in which Z increases.

  6. Split button and close buttons to manage multiple views (up to 2 on smartphones, 4 on tablets).

  7. The "Close"-Button moves the viewer to the background.

  8. The view shows the image data. The tools (12) allow you to interact and adjust the image. You can always use the two fingers to zoom in/out, except of you turned on 1:n zoom.

  9. The measurement shows the scaling of the image. Notice that the displayed number of lenght shows the inner lenght of the measure. In this case the total lenght of the measure is 25 mm, as every step is 5 mm long.

  10. Information about the patient, study, modality and other. The following abbreviations are used:

    • S: information about the current slice position and number of slices.

    • ST: information about the slice-thickness

    • L|W: information about the current level-window settings.

    • IN: the DICOM Instance Number.

  11. Download the current dataset as DICOM Data (only if enabled on this server)

  12. Adjust level window presets with the 'Level-Window'-Button.

  13. Opens the tool and interaction menu.

  14. The scrollwheel allows the user to scroll trought a series (see Interactionbar). The scrollbar on the right edge of the screen can also be used to scroll through a series with only one hand (see Scrollbar).

  15. 'MPR-modality'-button to change the view modality.

10.1. Series- and key image buttons

The series- and key image buttons only appear when there is another series or keyimage for the current series.

series keyimage
Figure 36. Key images
  1. Go to the previous series in the study.

  2. Go to the next series in the study.

  3. Go to the next key image for that study.

  4. Search for associated studies

10.2. Interactionbar

The Interactionbar offers tools and functionality to interact with the currently open image. It contains a Toolmenu button (1) and a scrollwheel (2) to navigate trought 3D datasets. The toolmenu button shows the currently selected tool.

interactionbar
Figure 37. Interactionbar

The scrollwheel allows you to scroll trought a series image layers. You can interact with the scrollwheel by tapping the arrow keys for next / previous slice or scrolling the wheel with your finger. By releasing the wheel it will instantly stop.

10.3. Scrollbar

The Scrollbar allows you to change the currently viewed image slice, like the scrollwheel. In difference to the scrollwhel, the scrollbar’s layout instantly indicates where you are in the image slice stack. Depending on your view rotation, the scrollbars top/bottom or left/right edge symbolize the beginning/end of the dataset. There are two different scrolling modes:

  • Relative: If you are tapping the scrollbar at a position of your choice and start to move, you will scroll trought the image slices based on your scroll speed. The finger movement is not synchronized to the scrollbar handle position. The scrollspeed is adjustable by increasing/decreasing the distance of your tap to the scrollbar while scrolling.

  • Absolute: In order to activate this mode double tap on the scrollbar. While this mode is active, changing the position of your finger will change the position of the handle directly. By releasing the touch the scroll behavior switches back to relative.

scrollbar
Figure 38. Scrollbar

10.4. MPR Views

The MPR views allow you to open up multiple views at once (MPR View). Following screenshots show the MPR view:

mprview
Figure 39. MPR View

The Screenshot shows the original view of a dataset, the locally computet reconstructions (MPRs) and information to the viewed dataset.

  1. Add more views here Split. The maximum number of views is 2 on smartphones and 4 on tablets.

  2. Inidication of the current view direction in relation to the original image stack. You can change the view direction by pushing this button MPR.

  3. Use this button Sync to synchronize with the active view. See Synchronized Views for more details.

  4. Shows the reference lines depending on the other opened views.

You can change the perspective with the MPR perspective button (Point 1). This allows you to switch between the different modalities and a 3D reconstruction. The buttons in the top right corner (Point 2), allows you to open or close a view. If there is more than one view, a button to synchronize view adjustments will appear (see Synchronized Views).

The 3D reconstruction shows planes of the currently open views. This view will only contain contents if there is at least one open MPR view. Smartphones can only open up to 2 views and can not use the 3D reconstruction.

In order to interact with a view you have to select the appropriate view first. In order to do so, just tap on the view. The selcted view is marked by an orange border.

mRay allows you to load different datasets in different views. After opening a new view, you can open another series by tapping on the inbox button. It is also possible to view two different patients at the same time. To prevent a confusion between different patients a permanent warning is shown.

10.4.1. Synchronized Views

This functionality allows to synchronize the interaction on the active view to other views. Interactions that are synchronized are the following:

  • Zoom

  • Panning

  • Slice scrolling (only if in the same view-mode)

Other interactions like level-window or slice-thickness are always just applied to currently active view.

10.5. Toolmenu

toolmenu
Figure 40. Toolmenu

You can select the following tools from the toolmenu:

  • Interaction

    • Level Window: With the level window tool you can modify the grayscale values and brightness of the view (Viewcontrol).

    • Panning: The panning tool allows you to pan, increase and decrease the size of the image. This tool is selected by default

    • Slice scrolling: You can scroll through the slice images via slice scrolling (see Interactionbar and Scrollbar). Scrolling happens via vertical movements on the image with the left mouse button pressed or by touch.

    • Thickness: Maximum intensity projection (MIP). View multiple slices at once (slices are superimposed). A maximum of 12 slices can be superimposed on each other.

  • Tools

    • DICOM Cine: Allows to play DICOM Cine files. Is only available for 3d datasets.

    • Zoom: Zoom the image in and out in the preselected 'FREE' mode. By tapping the tool it will zoom the image to one of the prefabricated zoom levels in the following formats: 1:1, 1:2, 1:4 and 'REAL' (which provides a life size enlargement).

    • Create report: Creates a structured report draft. See Report workflow for more details.

    • Reference lines: Switch between the different modes for displaying reference lines

  • Annotations

    • Measurement: Create measurements on a slice of the image data set.

    • Note: Place a note on a slice of the image data set.

    • Arrow: Place an arrow on a slice of the image data set to highlight important regions.

    • Region of interest: This tool allows to mark a region of interest with an elliptical selection which shows information about the selected region imagedata.

    • Angle: Place an angle measurement on a slice of the image data set.

    • Remote angle: Allows to measure an angle (like the angle tool) between two lines.

    • Length ratio: Show the length ratio between two lines.

    • Segmentation: Create a manual segmentation.

    • Save keyimage (to PACS): Saves the current view with all Annotations. The original dataset will not be touched. Optionally the keyimage will be uploaded to the PACS if your license supports the 'PACS upload' and it is properly configured.

    • List of annotations: Contains all annotations you added to the image. By selecting an annotation in the list you’ll get the opportunity to rename or delete the annotation.

The currently selected tool is saved across studies.

10.6. Level-Window presets

mRay allows you to create presets for the Level-Window tool. These can be selected from the Level-Window menu (on the right Level-Window presets). Please note: These presets are saved to the device and are not synced to other devices.

levelwindow
Figure 41. Level-Window presets
  1. DICOM: Sets the level window to the settings set in the DICOM tags.

  2. FULL: Set the level window to the full spectrum of grayscale values.

  3. INVERT: Like full, but inverted.

  4. Level-window-preset

    • Tap: Sets the level window for the active view.

    • Double Tap: Sets the level-window for the active view and closes the presets window.

    • Hold: Selection of Preset(s)

  5. Creates a new preset.

  6. Select one or more presets.

  7. Delete the selected preset.

  8. Edit the selected preset (Edit Level-Window preset).

  9. Move preset up/down.

create preset
Figure 42. Edit Level-Window preset

10.7. Desktop controls

On devices with a mouse pointer mRay allows some actions to be performed with mouse buttons. See the following list:

Table 1. Mouse controls

Button

Functionality

Left button

Selected tool (e.g. panning, levelwindow, thickness)

Right button

Zoom when moving the mouse vertically

Middle button

Alternative tool (levelwindow when panning is the primary tool, otherwise panning)

Mouse wheel

Change the current slice

Next button

Next series in study

Previous button

Previous series in study

Table 2. Keyboard controls

Button

Functionality

F11

Toggle fullscreen mode

DEL

Delete the currently selected annotation inside the viewer

ESC

Go back to the previous step

11. Tools

11.1. Annotation menu

The following button (see List of annotations) will appear in the Toolmenu if the user has created any annotations.

annotation button
Figure 43. Annotation button
  1. Opens the 'List of annotations' window

annotations window
Figure 44. List of annotations
  1. A single tap selects and jumps to the annotation. Tap and hold will open the annotation submenu (Item 2,3).

  2. Deletes the selected annotation.

  3. Edit the name of the currently selected annotation.

11.2. Text annotations

The note tool Note creates text notes in the current slice image. Notes can be edited by double tapping on them. Notes can be selected by tapping on them or selecting them in the List of annotations, like measurements. You can move the selected Note with one finger. You can delete notes and measurements from the Annotation menu.

note
Figure 45. Text annotation

11.3. Measurements

The measurement tool Note allows you to create measurements on an image slice. The display length is rounded to one digit after the comma. The inserted measurement can be adjusted by 'Pinch-to-Zoom'. Alternatively you can adjust booth ends separately. In order to do so you have to tap on the transparent circles at the end of the line. You can create as much measurements as you want in one image. You can reselect a measurement by tapping on it or selecting it from the 'List of annotation' window.

measurement
Figure 46. Measurement annotation
Attention
  • The measurement information is read out the data send by the PACS. Missing or corrupted spacing data could lead to wrong measurements. Should you encounter problems with wrong measurements there could be an issue in the modality setup of the image data. Please consult the appropriate IT-Support.

  • In 2D-radiographs the measurements show the size like it would be shown by the X-ray detector. Keep in mind that measurements show the size of the projection and not the physical size of a structure! This also applies to the 'REAL' zoom mode!

  • The accuracy of all measurements depends on the pixel spacing of the displayed images and the pixel size (PPI) of the device screen. See Measurement inaccuracy for 1:1 zoommode and Measurement inaccuracy for other zoommodes

11.3.1. Measurement inaccuracy for 1:1 zoommode

The maximum measurement inaccuracy for the 1:1 mode can be described as follows:

precision1

with \(\epsilon_{max}\) as maximum error, \(ps\) as pixelspacing and \(r\) as aspect ratio

11.3.2. Measurement inaccuracy for other zoommodes

The maximum measurement inaccuracy for other modes can be described as follows:

precision2

with \(\epsilon_{max}\) as maximum error, \(ps\) as pixelspacing, \(zf\) as zoomfactor and \(r\) as aspect ratio

11.4. Angle tools

The angle tools allows you to create an angle in the current image slice. The angles lines are adjustable in their length and direction so that you can modify the angly by your needs. You can move the whole angle by tap and hold the intercept point. The angle can be deleted from the annotation menu.

angle
Figure 47. Angle annotation

Beside the normal angle tool there is the remote angle. While the normal angle is a real angle, the remote angle calculates the angle between two lines without a crossing point. Beside that, it can be used like the normal angle tool.

remote angle
Figure 48. Remote angle annotation

11.5. Segmentation

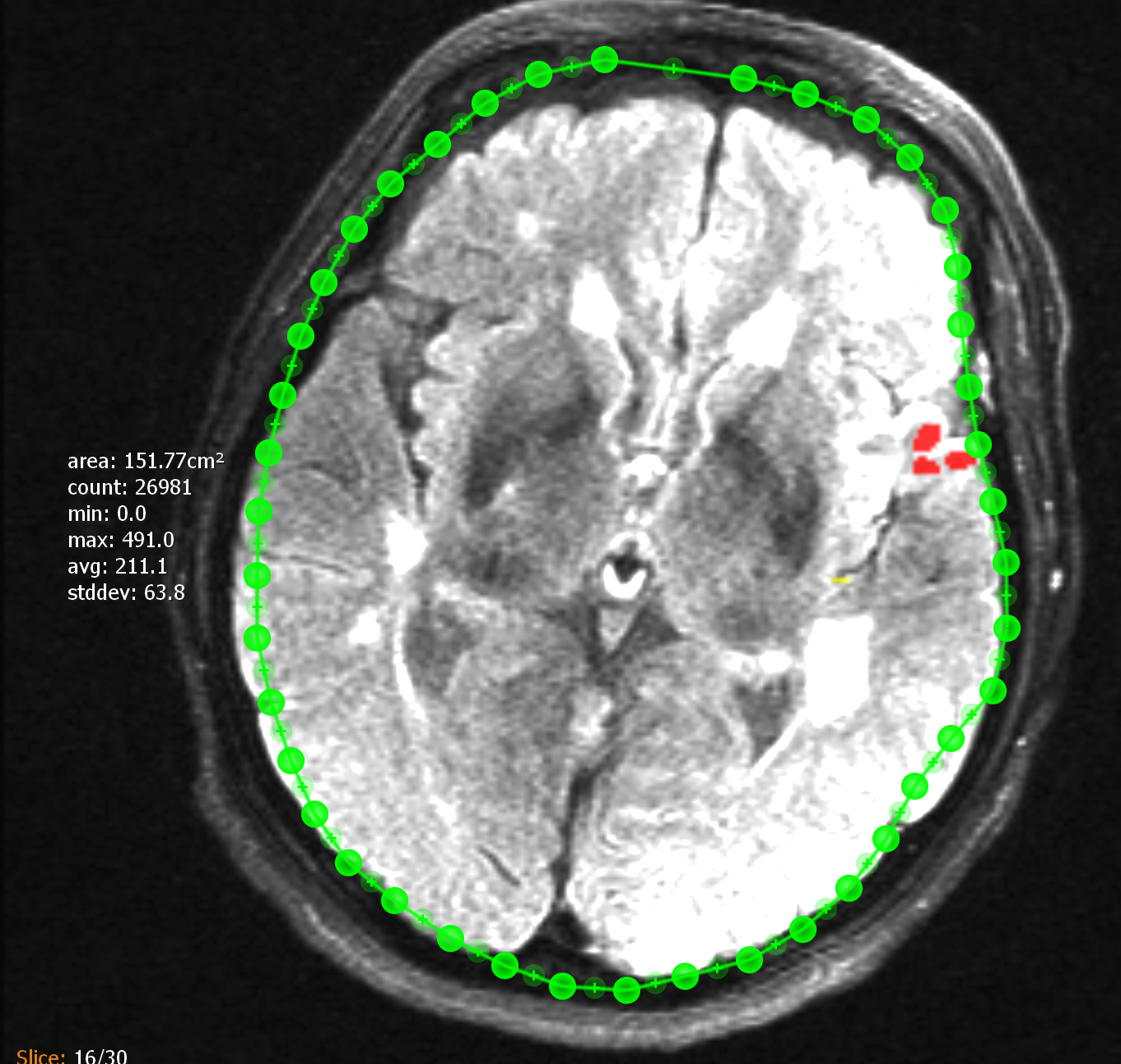
You can use the "Segmentation"tool to insert a manual segmentation into a layered image. After activating, circle the object to be segmented with your finger. The annotation can then be adjusted. The segmentation points can be easily moved or deleted with double tap. New points can be added by' +'. On the side of the segmentation there is an additional information text which contains the following calculated values for the pixels in the segmentation:

  • area: Segmented area (optional if image spacing is correct).

  • count: Number of pixels inside the ROI.

  • min: Smallest selected greyscale value.

  • max: Biggest selected grayscalwe value.

  • avg: Average grayscale value of all selected pixels.

  • stddev: Average spread of all grayscale values from the average grayscale value.

segmentation
Figure 49. Segmentation
Please note
  • If the measured data set is a color image, the mean value of the color channels is used per pixel for calculating the above mentioned values.

  • Pixels that are not included in the segmentation are determined by the following rule: If a pixel is completely within the segmentation or if it is cut through the contour of the segmentation, it is considered as part of the segmentation. Thus, the pixel center does not play a role in determining the inclusion.

  • A decimal place is used to display the measurement accuracy (exception: count).

11.6. Region of interest

With the 'Region of interest' feature in the Toolmenu you are able to add a region of interest (ROI) to an image or a slice. After adding a ROI it is activated by default and ready for individualization. The ROI can be moved by tapping the cross in the middle of it and dragging it around. By using the two touch handles (white, transparent circles at the edge of the ROI) you are able to shape and rotate the ROI. On the opposide of the touch handles you’ll find the following information:

  • area: area (optional if image spacing is correct).

  • count: Number of pixels inside the ROI.

  • min: Smallest selected greyscale value.

  • max: Biggest selected grayscalwe value.

  • avg: Average grayscale value of all selected pixels.

  • stddev: Average spread of all grayscale values from the average grayscale value.

roi
Figure 50. Region of interest
  1. Attention

The same restrictions as for Segmentation apply.

11.7. Overlay menu

mRay supports the display of DICOM files with up to 16 overlay masks. These overlays can be switched on and off separately via a menu in the viewer. It is also possible to assign a freely selectable color and transparency to each overlay.

overlay
Figure 51. Overlay menu
  1. Displays the overlay with color and label information. With one click you can switch the respective overlay on or off. To adjust the color and transparency, press and hold the button for a short time.

  2. Here you can set the color and transparency for the overlay.

12. Report workflow

If your server license includes the structured reporting feature then you are able to create textual report within mRay. There are multiple a stages a structured report has, which will be described below.

12.1. Report creation

A report can either be created manually by pressing the Create report button inside the tool menu (see Toolmenu) or by incoming HL7 orders (please contact your mbits support for this setup). The created draft is created inside the associated studied and is displayed inside the inbox. The draft is visible to all users and can be worked on cooperatively.

draft inbox
Figure 52. Draft in inbox
  • The user requires permission to be able to create and edit structured reports.

  • When the report is created by an HL7 order it’ll be prefilled with clinical information.

12.2. Draft editing view

After a draft is created it opens right next to the associated series. The patient and study information is filled automatically and the report title is prefilled from the current date. While the report is open it is locked for the current user, which means that no other users can edit it. This avoids multiple users working on the same draft performing conflicting changes.

draft
Figure 53. Draft editing view
  1. Report title: The title for the structured report. Is prefilled with the current datum.

  2. Report content: The content for the structured report e.g. a diagnosis or any other clinical information.

  3. Unlock draft: Unlock this draft and allow other users to work on this draft.

  4. Delete draft: Delete this draft. It will disappear for all other users aswell.

  5. Approve draft: Finalize the current draft and create the structured report. After this action you can’t modify the report anymore.

  6. Associated study: Displays the study that is associated with this report.

12.3. Draft reading view

When you reopen a draft from the inbox you can see the current draft state. You can always open this view even for locked drafts. When the report is locked by another user a closed lock is displayed.

draft read
Figure 54. Draft reading view
  1. Draft summary: A summary of the information in this draft.

  2. Draft content: The text that has been added to this draft.

  3. Edit draft: Edit this draft and open the Draft editing view

  4. Copy content: Puts the content of this draft into your clipboard.

  5. Associated study: Displays the study that is associated with this report.

12.4. Structured report view

After the draft has been approved it’s not editable anymore and the draft flag is removed. See Final structured report

structured report
Figure 55. Final structured report
  1. Report summary: A summary of the information in this report.

  2. Report content: The text that has been added to this report.

  3. Report approval: Displays the user who has approved the report.

  4. Copy content: Puts the content of this report into your clipboard.

  5. Associated study: Displays the study that is associated with this report.

You can automatically export approved reports into your PACS when your mRay Server has that feature. Please contact your mbits support for further information.

13. Messaging

With the messaging function (Messaging) you are able to send and recieve messages and datasets/key images to your contacts and groups.

messaging
Figure 56. Messaging

The screen provides the following functions:

  1. Click to open the chat with a contact.

  2. Click to open the chat of the chat room for group Besprechung.

  3. Preview of the last messages in the chat.

  4. Create a new group chat.

  5. The profil photos of your contacts and groups are visible in the chat (see User settings).

13.1. Chat

Just as known from other messaging applications it is possible to send and recieve messages (Chat). Additionally it is possible to share series, key images and sending audio messages.

chat
Figure 57. Chat

This screen provides the following functions:

  1. Back to the overview.

  2. Chat course: Available series and key-images (key icon above the preview image) can be opened by clicking it. Please notice: If you have no access rights for an image a corresponding error message will be displayed.

  3. Add an attachment from your phone gallery, which will be send as photo message (see Photo messages)

  4. Input field to type your text messages.

  5. With the microfone button you can capture audio messages (see chapter Audio messages). With the camera button you can send Photo messages

  6. With this button you can start screensharing with all chat participants (see Screensharing).

  7. This icon indicates that an image is already open in the background (see Screensharing).

13.2. Photo messages

In addition to text, pictures can also be sent to contacts. This is possible by clicking on the photo camera icon, which is to the left of the text field (see Chat).

chat photo preview
Figure 58. Photo capturing

The above figures illustrate the following functions:

  1. Use this button to return to the chat history from the photo capture preview.

  2. This button triggers a capture and sends it to your selected contact. You’ll be back inside the updated chat history.

In the case of photo messages, there is no access to the private photo memory or the gallery of the device. The photos are only managed and stored internally by and within mRay.

13.3. Audio messages

Additionally to text messages you can also send audio messages. Simply click the microphone button, which is located at the opposide of the input field on the chat screen (Audio messages).

chat audio
Figure 59. Audio messages

The upper figure visualizes the following functions:

  1. The flashing 'REC' symbol will show up when you are recording an audio message.

  2. The time readout shows how long the record is until now.

  3. By clicking the close button you can cancel the message.

  4. The oscilloscope shows the volume in discrete time steps while you record.

  5. You can take a break from recording by clicking the 'pause' button and continue to another time. By clicking the 'pause' button the icon will change to a microphone, which you need to click if you want to continue.

  6. As soon as the recording is completed you can click the 'send' button to the reciever.

13.4. Group messages

To communicate with several people at the same time, it is a good idea to create a chat group (see Messaging). The group members can be selected during the creation process as shown in Group member selection.

group create
Figure 60. Group member selection

After the members have been selected, the new group must be named. The name is then displayed to all group members in the overview. See Name group

group name
Figure 61. Name group

After confirming the group name the group appears in the messaging overview. You can edit the group settings by clicking the groupname in the top after opening the chat. See Edit group settings. You can assign a profil photo to the group via the "Camera" icon.

group edit
Figure 62. Edit group settings

14. Screensharing

Screensharing allows you to share your screen with others. After pressing the button (see Chat) the screensharing will start and the image you have already opened will open (see Chat) or you will be redirected to the inbox if no image has been opened yet. The screensharing can be started with one or more persons (see Screensharing in groups), in the form of a group.

In a chat, the administrator is the one who starts the screensharing. In a group the administrator is defined previously (see Screensharing in groups).

screensharing admin
Figure 63. Screensharing as administrator

The upper figure visualizes the following functions:

  1. The one who started screensharing is underlined in white, the active participants are displayed in white and the inactive participants of the group are displayed in gray.

  2. With the 'Microphone' button, a participant can activate and terminate the voice function (crossed out). The speaking participant is displayed in yellow.

  3. The X button ends the screensharing for all participants.

  4. Only the administrator can apply tools during the screensharing.

  5. Here you can minimize the window.

screensharing receiver
Figure 64. Screensharing as receiver

The upper figure visualizes the following functions:

  1. By clicking the 'green checkmark' button, the participant can join the screen sharing.

  2. The administrator is underlined in white, the active participants are displayed in white and the inactive participants of the group are displayed in gray.

14.1. Screensharing in groups

In a group, screen sharing can only be started by a previously determined administrator. For the other participants of the group, the screen sharing starts automatically. In a group only th group administrator can use the voice function.

screensharing groups
Figure 65. Screensharing in groups (as Admin)

The upper figure visualizes the following functions:

  1. The X button ends the screensharing for all participants.

  2. Only the administrator can apply tools during the screensharing.

  3. The one who started screensharing is underlined in white, the active participants are displayed in white and the inactive participants of the group are displayed in gray.

  4. The number of active participants and all group members.

15. Photo documentation

The photo documentation feature is expressly not permitted for diagnosis or treament decisions. This feature isn’t enabled by default. It is only avaible for evalution purposes. If you’re interested in taking part of the evaluation, please conctact your mbits support staff.

When the feature is enabled for the current user you’ll see an extra tab for the photo documentation and a button in your inbox to open the camera. By pressing on the camera button (Point 2) you’ll open the camera and be able to capture all the photos you require. A photo documentation workflow will be like the following

  1. Take pictures

  2. Select photos that should be assigned to a patient or order

  3. Select the bodypart which reflects the content of the photos

  4. Select a patient or order

  5. Add more information to the photos (key wording)

  6. Confirmation

photodoc inbox
Figure 66. Photodoc Inbox
  1. Go to the Photo documentation tab

  2. Open the Photo documentation camera

15.1. Camera

When you’ve captured all the photos you need press the the photo stack (Point 2) to continue to the review process.

photodoc camera
Figure 67. Photodoc camera
  1. Shutter button to capture a image

  2. Image stack of taken images. Click to return to gallery.

  3. Enable or disable autofocus

The review gallery displays all the photos that you have taken so far ordered by their capture date.

  1. Navigation bar shows current progress and allows you to go to a step by tapping on it. By doing that you can only go to a previous step

  2. Select button to enter image selection mode.

  3. Click on a thumbnail in order to view a image.

  1. Click on a thumbnail to add the image to the selection.

  2. Button to select a row of images.

  3. Cancel selection mode.

  4. Deletes the selected images. Deleted images can not be restored.

  5. Confirm selection and go to the next step.

Danger

Be careful and do not delete images by accident. Deleted images can not be restored.

If you want to inspect an image more detailed you can enter the photo view by clicking the target photo. Inside the photoview you get a fullscreen overview of the image. In this mode you can perform all the transform operations that are already known from the regular viewer (panning, zoom). By clicking the next or previous (Point 2) button you can navigate between the images.

photodoc image view
Figure 70. Image view
  1. Go back to the image gallery.

  2. Switch between images. You can also use a swipe gesture to move foreward / backward in the image stack.

  3. Deletes the currently opened image. Deleted images can not be restored.

  4. Shows the date and time the image was taken.

15.3. Bodypart

In the next step you are asked to to select a bodypart to which the selected photogroup belongs to. The selected bodypart defaults to "Unspecified" and is displayed in a label (Point 4). To select a bodypart just press on the human. To switch between front and back view you can press the corresponding button (Point 2). For navigation purposes you it’s displayed which side is left or right (Point 3).

photodoc bodypart
Figure 71. Bodypart selection
  1. Body part selection. Click on a body part to select it.

  2. Rotates the body part selection so you can select parts on the front and back of the patient.

  3. Shows the correct direction relative to the body part selection.

  4. Shows the name of the currently selected body part.

  5. Confirm the selection and proceed to the next step.

By tapping on the next button you will continue to the orderview.

15.4. Orderview

In this page all patients and unprocessed orders are displayed. Each order/patient are displayed with the necessary information to identify them (Point 1). To filter all the entries you can use the search field in the top (Point 3). To scan a QR or Barcode you can use the corresponding button below the search field (Point 4).

photodoc orderview
Figure 72. Orderview
  1. Shows patients that are registered in the system.

  2. Shows orders that are registered in the system.

  3. Filter input to filter the displayed results.

  4. Search patient or order by scanning a bar code containing the patient or order id.

  5. Shows when the last updateor order id has been made.

  6. Add a patient to the system by manually entering the correct information.

By clicking an order/patient you’ll proceed to the confirm. If there is no order and no patient that fits your case you’ll want to add the patient manually with the add patient button (Number).

15.5. Patient form

If you have decided to manually add the desired patient, the following view will open. The required tags for the patient are displayed at Point 1 and setup by your pacs administrator. Make sure to enter the correct information before proceeding to the next step.

photodoc patient
Figure 73. Patient form
  1. Input fields for the patient information defined by your PACS.

  2. Confirm the input and continue with the next step.

15.6. Confirmation view

In this step you have the ability to review your assigned photos one last time and to add additional tags to the order that can help with identifying the order at a later stage. (The keywording must be configured at the server to be available, please contact your administrator or mbits support)

photodoc confirm
Figure 74. Confirmation view
  1. Preview of the added images and patient information.

  2. Selecttion of further tags and information for the order.

  3. Confirm inputs and proceed.

15.7. Assigned view

This view is the default view when you press the photo documentation tab in the top. It is an overview that lists all unassigned photos, pending orders and completed orders. By pressing the unassigned photos (Point 1) you’ll proceed into the review gallery where you can assign those photos like already described above. The list of pending orders (Point 1) are the orders that have not yet been confirmed by the server. This can be caused by no internet connection or that the server is still processing those orders. The completed list (Point 2) shows all orders that are known to be completly processed. By pressing the "Clear completed" button (Point 3) those orders are not shown anymore to you.

photodoc assigned
Figure 75. Assigned view
  1. List of pending orders that are uploading or waiting for approval.

  2. List of completed orders.

  3. Button to clear the list of completed orders.

16. VEOcore

Warning

Decisions must never be made based on the VEOcore results alone. The product should only be used by trained medical personnel familiar with the current guidelines and the perfusion measurement technique. It is up to the user to carefully take into account all available patient information and to put the VEOcore results into the proper context in a holistic way.

16.1. Overview

VEOcore is a fully automated image processing tool to calculate quantative measures of affected brain tissue and healthy tissue. Therefore, this manual covers the instructions on how to interpret the results. It’s an extension the mRay Server application and the results can be viewed inside the mRay Client. Furthermore processed results can be automatically forwarded to the PACS.

16.2. Triggering the data processing

VEOcore does not have a user-interface. Data is processed fully automated on reception of DICOM series. All series should be sent in one rush, otherwise the data processing might be invoked multiple times, and result images might appear in the target PACS multiple times.

For MR and CT, the following DICOM images can be sent to the application. For details on series naming conventions as well as compatible and recommended measurement parameters such as slice thickness, repetition times etc. please refer to the Annex.

16.2.1. Computed Tomography (CT))

  1. CT perfusion (VPCT)
    Repeatedly acquired volumes of low-dose CTs acquired during injection of a contrast bolus. This series is often called VPCT (Volume-Perfusion-CT).

  2. Non-contrast native CT image (optional)
    Native image before contrast injection with a reconstruction kernel optimised for brain tissue. Sending this image is optional, but recommended. If sent together with the VPCT, it is used as background for the overlay with the segmented core and mismatch volume.

16.2.2. Magnetic Resonance Imaging (MRI)

  1. MR perfusion (DSC-Perfusion) (optional)
    Repeatedly acquired volumes of echo-planar imaging acquired during injection of a contrast bolus. This measurement technique is often referred to as DSC-Perfusion (Dynamic-susceptibility-contrast perfusion). Sending a perfusion measurement is optional in MR. If not send, only the infarction core will be segmented based on the ADC (see below).

  2. MR ADC
    Apparent-Diffusion-Coefficient (ADC), berechnet aus einer diffusions-gewichteten Sequenz (DWI-MR). Das senden des direkt am MR-Scanner berechneten ADC ist unbedingt notwendigan ADC, VEOcore berechent keinen ADC selbst aus den DWI-Daten.

  3. MR DWI (optional)
    Diffusion-weighted image of the brain, from which the ADC was calculated. This measurement technique is often referred to as DWI-MR or also trace-weighted imaging. Sending this image is optional. If sent, an improved brain strip can be provided, and the DWI weighted image is used as background for the overlay with the segmented core and mismatch volume.

  4. MR FLAIR (optional)
    Non-contrast, “native” high resolution image of the brain with T2-weighted contrast acquired with flow-attenuated-inversion-recovery (FLAIR) in order to suppress CSF. Sending this image is optional but recommended. If sent, FLAIR images are used as background for the overlay with the segmented core and mismatch volume.

16.3. Result images

The following table lists the output which is created by the application. A detailed explanation of all results is given below.

Name Description

CBF, CBV, Tmax, RGB_CBF, RGB_CBV, RGB_Tmax

Perfusion maps of Tmax, CBF and CBV as grayscale and RGB images.

LesionMap

Main result image: Tiled overview with important maps, segmentation overlays, volumes and warnings

qcontrol_bolus

Quality control: Details on the bolus, AIF selection and quick overview on patient motion. Siehe Quality control image: Bolus.

qcontrol_motion

Quality control: Details on patient motion, and motion correction. Siehe Quality control image: Motion correction.

qcontrol_flowstatistics

Quality control: Median values of perfusion values in core and mismatch volume as compared to their contralateral mirrored counterparts. Mean bolus curves inside core and mismatch volume.

mask_hypoperf, mask_core, mask_mismatchvol

Segmentations as binary images. Might be of scientific interest to some users, e.g. for studies.

16.3.1. Perfusion maps

Tmax CBF CBV RBG_Tmax RGB_CBF RGB_CBV
veocore tmax
veocore cbf
veocore cbv
veocore rgb tmax
veocore rgb cbf
veocore rgb cbv

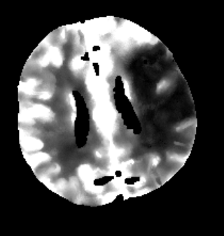
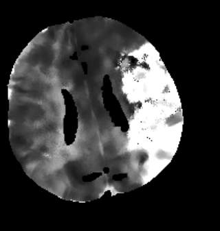
Maps of Tmax, CBF and CBV are generated in color (RGB), and gray-scale. Due to downsampling during image processing they might have a different spatial resolution and number of slices than the source perfusion-timeseries. For the coloring, a jet-like colormap is used, ranging from blue to red from low to high values. In terms of quantification, CBF and CBV maps have been normalized to the healthy hemisphere. The midline of the brain was automatically found during processing. In the RGB images, the midline is shown as a gray line such that the user can immediately assess its correctness. Colored images have a fixed colormap window ranging from [0, 150%] for CBF and CBV, and [0sec, 10sec] for Tmax. With a compatible DICOM viewer, the gray-scale images can be windowed to adjust the image contrast, and values can be evaluated quantitatively.

16.3.2. Lesionmap

This is the main result image of the application. It provides all relevant information at one glance. It consists of a tiled overview with a gray-scale native background image for anatomical orientation, the segmented core and mismatch volume as overlays, the important perfusion maps in color and the calculated lesion volumes as numbers and graphical bars. Further, it is indicated whether values are below or above the criteria suggested in the AHA Guidelines based on the DEFUSE-3 inclusion criteria. The image is arranged in a stack of slices, such that the user can scroll through the full brain volume. The layout is slightly different for MR and CT. Further details are given below.

veocore lesionmap ct
Figure 76. CT Lesionmap

For the gray-scale background image the non-contrast native CT image is used if provided. If not the the baseline image of the perfusion timeseries is used.

  • Upper left: Gray-scale background image with segmented core and mismatch volume in red and yellow as overlays.

  • Upper right: Gray-scale background image without overlay to cross-check for any visible demarcation.

  • Lower left: Colored CBF map with fixed window from 0 to 150%.

  • Lower right: Colored Tmax map with fixed window from 0 to 10 seconds.

  • Volume bars and text: see Volume bars and text in lesionmap for an explanation.

veocore lesionmap mr
Figure 77. MRI Lesionmap

For the gray-scale background image, the FLAIR image is used, if given as input. If not, the MR-DWI image is used. If this image is not given either, the baseline image of the perfusion timeseries is used. If no perfusion is sent, but only the ADC, the result will be presented as 2x2 tiled image without the perfusion maps, and only the core volume will be displayed.

  • Upper left: Gray-scale background image with segmented core and mismatch volume in red and yellow as overlays.

  • Upper middle: Gray-scale background image without overlay to cross-check for any visible demarcation.

  • Lower left: ADC map with fixed window ranging from 400 to 700.

  • Lower middle: Colored Tmax map with fixed window from 0 to 10 seconds

  • Lower right: Colored CBF map with fixed window from 0 to 150%

  • Upper right: Colored CBV map with fixed window from 0 to 150%

  • Volume bars and text: see Volume bars and text in lesionmap for an explanation.

veocore legend
Figure 78. Volume bars and text in lesionmap

Volumes for hypoperfusion, infarction, mismatch volume (penumbra) and mismatch ratio (hypoperfusion volume divided by the cbf-core volume) are shown as numbers, and as graphical bars such that their relative proportions can intuitively be assessed. The black vertical line in the hypoperfusion bar indicates again the proportion between core and mismatch volume. Due to limited space, the maximum bar width is cropped at 180 mL, but the relative proportions are always kept. To the right side, the thresholds recommended by the AHA Guidelines (AIS within 6 to 16 hours after last known normal who have LVO based on the DEFUSE-3 inclusion criteria) are shown, and it is indicated by “Yes/No” if the criteria are met. Note that for MR, according to the current scientific consensus, the core is segmented based on the ADC, and not the CBF, as in CT.

  1. Values just above or below thresholds - interpret with care! All calculated values have an inherent and statistical inaccuracy. Therefore, they should be interpreted with extra care when they are close to the thresholds, as they are not decisive in this case. A uncertainty range of 15% us used by the program. If vales are closer than that, this warning is printed.

  2. Low and/or late bolus - check qcontrol reports! The contrast agent bolus might have an unusual low peak height, and/or a late arrival time due to a patient individual characteristics, or a suboptimal injection scheme. See Quality control image: Bolus for more details.

  3. Motion detected - check qcontrol reports! A measure for patient motion in time is implemented. If significant motion is detected, this message is printed. See Quality control image: Bolus and Quality control image: Motion correction for more details.

Depending on the scanner type and imaging protocol, the number of imaging slices might not be sufficient to cover the full MCI territory. In this case, the calculated volumes might be underestimated. Hence, the imaging slab thickness will be analyzed automatically, and a warning will be shown, or volumes will not be displayed (critical coverage). The thresholds for this behavior can be by customized by the mbits support after consultation.

16.3.3. Quality control

veocore bolus
Figure 79. Quality control image: Bolus
  1. Bolus Details: In the upper part, the following details on the contrast agent bolus are shown:

  2. Temporal sampling of the perfusion time series

  3. Relative peak position of the bolus

  4. Average peak height of the bolus (Hounsfield units for CT, relative units for MR)

  5. Lowest correlation in time series, serving as an index for maximal patient motion

To the right of these measures, it is indicated by "OK" or a warning message whether the values are within our outside reasonable bounds.

Arterial Input function (AIF): Below these values, a plot illustrating the selection of the arterial input function (AIF) is shown: The curves are clustered into "all vessels", "veins" and "arteries". The curves are normalised to their maximum value. The AIF is chosen from the arterial pool by the features early arrival time, narrow shape and low signal-to-noise ratio. With this, the user can cross-check that the selected AIF is reasonable in terms of these features.

Patient motion: Below the AIF plot, the correlation of each image of the timeseries with the first image of the series is plotted. This serves as an index for patient motion: Low correlation values correspond to significant patient movement. Correlation curves for both, before and after motion correction are shown. With this, the user can assess the severity of motion, and whether motion was removed to a sufficient degree. If still in doubt, the user can check the situation in more detail with the specific motion correction report (see Quality control image: Motion correction).

veocore motion correction
Figure 80. Quality control image: Motion correction

Patients might move during the scan. Potential motion can visually be inspected best when scrolling/browsing through the perfusion timeserie: Any movement can clearly be seen as a displacement and rotation. To give the user a quick overview, the middle slice of the volume is chosen and stacked as a timeserie of images, which can be scrolled/browsed using a DICOM image viewer. The timeseries is shown for both, uncorrected and the motion-corrected images, such that the user can assess the effectiveness of the motion correction. As in Quality control image: Bolus, again, correlation of each image volume with the first image volume along time is plotted for uncorrected, and motion-corrected images to give a quantitative measure for motion. The vertical white line indicates the current timepoint in the stack of images.

veocore flow statistics
Figure 81. Quality control image: Flow statistics

Comparison with mirrored segmentations: The segmentations are generated based on global thresholding of the Tmax and CBF maps. CBF maps are normalized to the median value of the full contralateral (supposed healthy) hemisphere. It might be of interest to the user to compare the median values of the segmentations to the ones of their corresponding mirrored counterpart (The median values of the mirrored counterpart might be different from the one of the full healthy hemisphere). Such a comparison is shown in the upper part of the figure. Values in the segmentations for Tmax, CBV and CBF are shown both, as numbers and as graphical color bars indicating their relative proportions. With this, the user can perform a more refined comparison of the values with their corresponding reference region and decide to which degree they really are abnormal.

For CBV, there is scientific evidence that an elevated CBV in the mismatch volume (penumbra) indicates good collateralization. The Interpretation of the CBV values is currently not part of the published recommendations but this aspect might be of scientific interest to some users.

Mean curves in core and mismatch volume: Below the statistics table, a plot showing the mean curves in mismatch volume (penumbra) and core as well as in the contralateral control hemisphere is drawn. The arterial input function is shown again for comparison. With this, the user can gain a visual estimate on the degree of delayed perfusion in the respective regions.

16.4. Segmentations as binary images

These images are primarily for scientific use and by default not sent to your PACS. Contact your mbits support for a customized setup

mask_hypoperf mask_core mask_mismatchvol
veocore mask hypoperf
veocore mask core
veocore mask mismatchvol

Segmentations: All segmentations are saved as binary masks. This way, they are digitally available for any further data processing, for example in scientific studies.

16.5. Interpretation of the results

We suggest the following workflow when interpreting the results:

  1. Open the Lesionmap

  2. Check for warning signs at the bottom of the image (see Volume bars and text in lesionmap). In case of a bolus or motion warning, directly check with the qcontrol bolus report and qcontrol motion report.

  3. Focus on the Tmax and CBF image (Tmax and ADC in case of MR). Scroll through the slices and check the following:

    • Can you visually see hypoperfusion and core lesion? If yes, mentally estimate their outline and size.

    • Do you see any motion artifacts? If yes, check directly with the motion quality control qcontrol_motion.

    • Do the images have sufficient signal-to noise?

    • Are there any other artifacts?

    • Is the midline correct?

    • Do the slices cover the full MCI territory?

  4. Focus on the upper left image with the automated segmentations. Browse again through the slices and check the following:

    • Are the segmentations in line with the ones you mentally have in mind from the Tmax and CBF maps? Is there any relevant discrepancy in what you expect and what you see?

    • Do you see false positives in the yellow mismatch volume, at the skull boundaries and in the lowest / uppermost slice? If yes, estimate their relative size and subtract mentally.

    • Do you see false positives in the red core, especially in deep white matter? Check with the contralateral side if values are really abnormal. If not, mentally subtract the false positives

    • Is the slice coverae sufficient / are parts of Hypoperfusion / Core outside of the imaged volume? If yes, consider a potential underestimation of calculated volumes and fall back to visual assessment of Tmax and CBF/ADC.

  5. Focus on the upper non-contrast, native image (Native-CT or Flair-MR).

    • Do you see any demarcation not included in the red infarct core segmentation (=false negatives)? If yes, estimate its volume and mentally add to the given core volume.

  6. Focus on the calculated volumes on the lower part. Do they seem reasonable with respect to what you saw up to now in the images? Do the values make sense? Are the values close to the critical thresholds?

  7. Now, keep the picture you have so far in mind. Check qcontrol_bolus and qcontrol_motion report.

    • Check for low or late bolus warnings

    • Check if the AIF is reasonable

    • Check the patient motion for any outliers. Check the performance of motion correction

If any unclear issues occurred, consider their impact on the results. Motion and a low or late contrast bolus can lead to false positives or negatives. Take in account if there is any relevant discrepancy with clinical presentation.

  • Never use the calculated volumes alone, without checking the feasibility of the segmentations.

  • Only use VEOcore in stress-free situations in order to ensure correct use.

  • Please note that VEOcore does not visualize left or right in datasets. Always correlate with clinical symptom presentation.

17. Appendix

17.1. System requirements

The following operating systems have been tested and approved:

  • Android 6.0 or later

  • iOS 14 or later

  • Windows 10 64-bit

  • macOS 10.11.0 (El Capitan) or later

  • Firefox, Chrome, Safari, Edge with WebAssembly support

17.2. Security recommendations

  • Please make sure you keep device operating system up to date.

  • Always use the latest version of the mRay application.

  • Protect your device with strong authentication (password, fingerprint etc.)

17.3. Precautions

  • Please ensure adequate light conditions when operating mRay.

  • Please ensure a clean display while operating mRay.

  • Only use mRay in stress-free situations in order to ensure correct use.

  • Please note that mRay does not visualize left or right in datasets.

  • Please ensure that the system clock and time are correctly configured.

  • Please ensure that your device is secure against electromagentic rays before using mRay in a magnetic resonance imaging room.

  • Please ensure that you are using the latest version of mRay after reinstallation of the application.

17.4. FAQ

17.4.1. Second opinion / consideration

  1. Why do some datasets have the green tag ‘JPEG’?

    Those datasets are transferred by employing JPEG compression (according to the Konsensius-Conference [Loose et al. 2009]).

  2. The patient list does not show all datasets. Why?

    Please ensure that the search field is empty.

  3. Why are no results shown after performing a query search to my PACS, although the patient is listed in my PACS?

    Some PACS distributers require a case sensitive search. Searching for “smith” will not lead to a result list as searching for “Smith” does.

  4. Why do I see no or only sometimes the reference lines when 2 or more windows are open?

    The reference lines (slice planes) are calculated from the DICOM files using the parameters Image Orientation Patient (0020,0037) and Image Position Patient (0020,0032). The lines are only displayed if these data are available or valid sections can be calculated from them.

  5. How can I provide data to an expert who does not have an account with mRay in my clinic?

    mRay offers the possibility to create a temporary link to studies or series. This link can be sent to the expert e.g. by e-mail. The link is protected against unauthorized access with a PIN.

    How can I see if my colleague has read my message?

    Your chat partner has read the message if a small eye symbol is shown on the message. The read function is not yet available in groups.

  6. I get the error Authentification Failed. What could be the reason for this?

    The specified user does not exist. The specified password is not correct The user’s upper and lower case is not correct (Only for versions prior to mRay 6.0)

  7. I have forgotten my password. How can I reset it?

    Contact a hospital IT staff member who can reset your password.

  8. What should I enter in the server address field?

    This is the address (URL) of the mRay server of your clinic. You can get the address from the IT department of your clinic.

  9. I have forgotten the server URL. Where can I get this information?

    You can get the address from the IT department of your clinic

  10. I do not receive a PIN. What should I do?

    PINs for the clinic login will be sent by mail to your clinic mail address. Make sure you have access to your mailbox. Look in the Spam folder. Possibly the mail was wrongly recognized as spam If you cannot find the mail in your mailbox, please contact your clinic IT. An employee can also give you the PIN by phone / in person

  11. My device is locked / must be released. How can I proceed?

    For security reasons, your clinic only allows login with previously enabled devices. Please contact a member of the clinic’s IT department to have the desired device unlocked.

  12. The connection seems to be very slow. What could be the reason?

    The causes can be very diverse. You can view the current transfer rate during a download in the side menu by clicking on the mRay logo. Check which connection you are currently using, i.e. WLAN or mobile data. Check your connection type. You may be in the mobile network and your data volume may be used up. Are you downloading other things outside of mRay? This can reduce the transfer rate.

    • mRay Cloud: There may be temporary fluctuations in data rates. If the problem persists, please contact support@mbits.info

    • mRay in the clinic If you are in the clinic WLAN, please contact your clinic IT. If necessary, carry out an independent speed test. If the values achieved differ significantly from the transmission speeds in mRay, please contact your clinic IT.

17.4.2. Teleradiology

  1. Can I use mRay for reporting?

    Yes. You can find more information at https://mbits.info/downloads/mRay-Nutzungsanweisungen_Befundung.pdf.

  2. Can I use mRay on a detached monitor?

    Yes, this is also possible without mRay internal calibration.

  3. You use JPEG compression. But mRay can also be used for reporting. What about JPEG artifacts?

    We refer to the following consensus and its results (JPEG compression factors). Quote: "At a consensus conference (Loose et al. 2009), radiologists, medical physicists, industry and government representatives discussed the topic of image compression of DICOM data. On the basis of the 56 highest rated studies, selected from 216 publications, and the largest currently published study from Canada, they discussed whether and with which factors image compression is possible without compromising diagnostic image quality. The outcome of this conference, which was attended by more than 80 experts, was published in the journal "RöFo - Fortschritte auf dem Gebiet der Röntgenstrahlen und bildgebenden Verfahren" (RöFo - Progress in the field of X-rays and imaging techniques) at the beginning of 2009.

  4. Why does the Lux Meter not work?

    The Lux Meter display is only available under iOS. When you have opened the Lux Meter, click on Start to perform the measurement. The Lux Meter will then also determine the room class you are in and log it automatically.

  5. Why is the Lux Meter not displayed?

    The Lux Meter display is only available under iOS.

  6. Why does the download test not work?

    This function has to be configured on the mRay server and has certainly not been set up yet. Please contact your clinic IT, they will contact us for the setup.

  7. How do I receive a report on the acceptance of the working day constancy test at the end of the month?

    This function must be configured on the mRay server. Contact your clinic IT, they will contact us for the setup.

17.4.3. Photo documentation

  1. Can I use photos from my gallery?

    No. Access to photos within the gallery is not supported for privacy and security reasons.

    Are photos also stored in the gallery?

    No. The data remains encrypted within mRay and cannot be viewed by the user or other apps.

17.4.4. VEOcore perfusion analysis

  1. I did not receive any result images in my PACS or host viewer application (e.g. the mRay client)

    Check whether the host application or the sending device (PACS or CT/MR device) issued any warning or error. If not, carefully check that you have sent all required and the correct input images. Try to resend the images.

  2. What should I do when patient motion was detected?

    Check the motion correction report to estimate the severity of motion and check for false positives in the segmentation. If in doubt on the reliability of the results, do not use them for your decisions.

  3. What should I do if a bolus problem was detected?

    Check the qcontrol_bolus report and inspect the time curves. If they are very noisy, interpret the results with care. If no bolus is visible in the time curves, there might have been a problem with contrast injection (No injection, or too late). You might repeat the measurement in this case.

  4. A false positive infarction core is segmented in deep white matter where blood flow is naturally very low. What to do?

    Core segmentation is based on global thresholding by 30%. This does not account for differences in gray and white matter. Check visually with the contralateral counterpart, or check the flowstatistics report. Take in account that severe small vessel disease can cause relevant hypoperfusion possibly resulting in false positive cbf-core segmentation. If in doubt on the reliability of the results, do not use them for your decisions.

  5. I visual anticipate small lesions in the maps, but they are not segmented?

    Very small lesions in the range of 0-2mL might be smoothed away due to mask cleaning operations.

17.4.5. General

  1. What do I have to enter in the login field (mRay Cloud)?

    In the login field enter the email address you used during registration

  2. Why can’t I connect to my server via the local network? (iOS 14)?

    You must give the app permission to access the local network:

17.5. Known issues

The list of known issues leads to problems identified after the release of the latest version of mRay. These problems, however, were classified as non-critical, so that an unrestricted working with the application is possible.

  1. Pseudonymization of images is not applied to the burned- in pixel data information. Please communicate this fact to the users to ensure that the data is sent only to pools for which Pseudonymization is turned off.

  2. Form fields for floating point numbers within the configuration application only accept values in english format, i.e. with a point as a delimiter.

  3. The auto-download setting Wifi/Mobile is not applicable for the Windows version of mRay client app.

  4. Multi touch gestures might trigger a button press event if they end above a button. This will happen altough the gesture is recognized as intended.

  5. The camera on a MED-TAB v2 does not focus correctly.

  6. Emojis in text fields can behave unexpectedly.

  7. A global cache path to a network drive can cause problems (concerns mRay server only)

  8. Automatic memory management on the mobile device may be incorrect if several mRay accounts are used on the device. Although the data is no longer accessible, they are not deleted under certain circumstances.

  9. Right click is not working on Windows Surface

  10. mRay server license changes to invalid after activating VPN controller

  11. Messaging: attachment is rendered with 'no access' despite being able to open the attachment

  12. Inbox: Search within study that has no result leads to jumping back to top level (usability bug)

  13. Multi-Frame MR images are do not fully supported. Varying spacing on one slice is not supported.

  14. Screen stays black when app is started after update of the device

  15. Mobile Web Client file upload not supported in mRay

  16. The upload-button inside the Web Client may not work on every browser, due to a blocked popup.

  17. During server configuration it may be possible that changes to the user database will lead to a re-connect for currently connected clients.

  18. In some very rare cases the install process may fail due to a blocked dll file. Installation can be continued/succeeded by restarting the machine. (concerns mRay server only)

  19. On some Android devices like e.g. Google Pixel 4a mRay shows a black screen after start, which isn’t fixed by waiting for a certain amount of time. A possible solution is to manually force quit the app and start over again.

  20. In some very rare cases PDF reports generated by a plugin are empty. The reports are retrieved from a PACS as DICOM structured report to generate a PDF using a template. (concerns mRay server only)

17.5.1. VEOcore

  1. Symmetric Gaussian in fourier can lead to slight numerical inaccuracies for even matrix sizes.

17.6. Abbreviations

  • DICOM: Digital Imaging and Communications in Medicine

  • CT: Computed Tomography

  • MRI: Magnetic resonance imaging

  • PET: Positron emission tomography

  • XA: X-Ray Angiography

  • CR: Computed Radiography

  • US: Ultrasound

  • DWI: Diffusion Weighted Imaging

  • MG: Mammography

  • PACS: Picture Archiving And Communication System

  • AD: Active Directory

  • MPR: Multiplanar reconstruction

  • MIP: Maximum intesity projection

  • DNS: Domain Name System

  • LDAP: Lightweight Directory Access Protocol

  • PPI: Pixels per inch

  • ROI: Region of interest

  • HL7: Health Level 7